症例詳細
Case detail
【セラミックインレー】適合の良いセラミックインレーを入れたい。
治療症例の内容
- 診療科目
- 治療カテゴリ
- 担当医
- 河口智英(ドクタープロフィール)
- 患者様
- 40代女性
- 治療期間
- 1ヶ月
- 治療回数
- 2-5回
- 治療計画
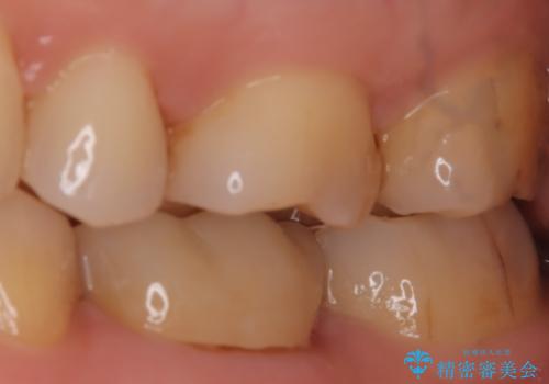
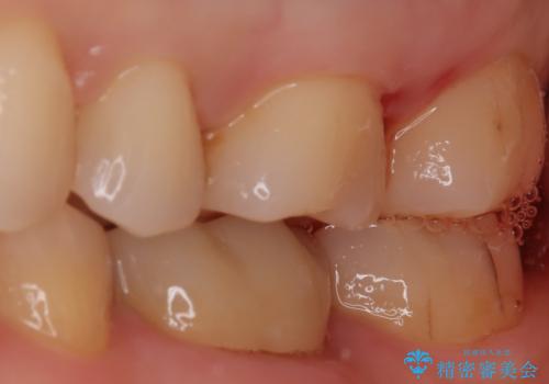
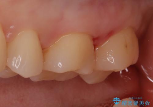
- 毎回フロスが引っかかることを気にされており、改善のため適合の良いセラミックインレーで修復しました。
以前に他院で詰め物をいれた時は、フロスが毎回ちぎれて大変だったそうですが改善して喜んでおられました。
- 費用(概算)
- 14万円費用は治療当時の料金となります
治療について
当院のセラミックインレーは必ずラバーダムを使用して接着しています。
セラミック治療の注意事項(リスク・副作用など)
- 天然歯を削ります
- 硬い素材は天然歯を傷つけてしまう場合があります
- かみ合わせや歯ぎしりが強すぎる方はセラミックが割れてしまう可能性があります
- 自費診療(保険適用外治療)となります
当サイトの内容、テキスト、画像等の無断転載、複製、複写、盗用を固く禁じます。









