症例詳細
Case detail
前歯がない オールセラミックブリッジによる審美治療
治療症例の内容
- 患者様
- 30代男性
- 治療期間
- 1年1ヶ月
- 治療回数
- 5-10回
- 治療計画
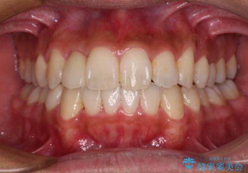
- 前歯のインプラントが中途半端に埋入された状態で来院された患者様です。
他にも根管治療途中の歯や、むし歯、欠損などがあったので、全顎的な治療を行うこととしました(矯正治療は希望されませんでした)。
前歯については、歯肉移植により露出したインプラントを被覆し、ブリッジによる治療を行うこととしました。
- 費用(概算)
- 治療費の目安: 130万円費用は治療当時の料金となります
治療を終えて
初診時には口腔内の清掃状態も良くなく、たばこも吸っていたので、前歯の審美面の回復とともに、禁煙に代表される口腔内環境改善を指示しました。
治療の前後の写真からも分かるように、歯面に付着していた汚れはなくなり、歯肉の状態も改善され、患者様には大変満足していただきました。
リスクについて
外科処置は術後に痛みを伴います。
セラミックは破折などにより修復や再製作が必要となることがあります。
根管治療後は一定の確率で症状が再発する可能性があります。
外科処置の注意事項(リスク・副作用など)
- 外科手術のため、術後に出血、痛みや腫れ、違和感を伴います
- 口腔内の状態によっては適応できないことがあります
当サイトの内容、テキスト、画像等の無断転載、複製、複写、盗用を固く禁じます。













