症例詳細
Case detail
【モニター】カリエール・ディスタライザーを併用した八重歯のインビザライン矯正
治療症例の内容
- 診療科目
- 担当医
- 藤巻太一朗(ドクタープロフィール)
- 患者様
- 30代女性
- 矯正装置
- インビザライン
- 治療期間
- 1年8ヶ月
- 治療回数
- 10-30回
- 治療計画
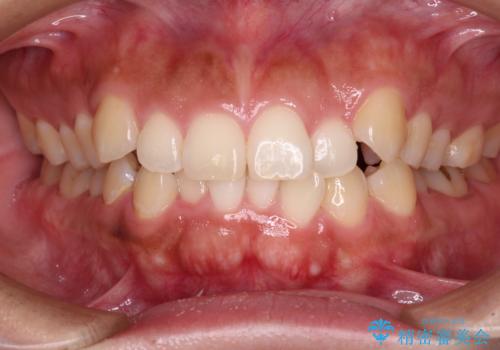
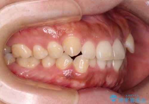
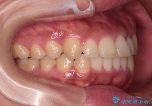
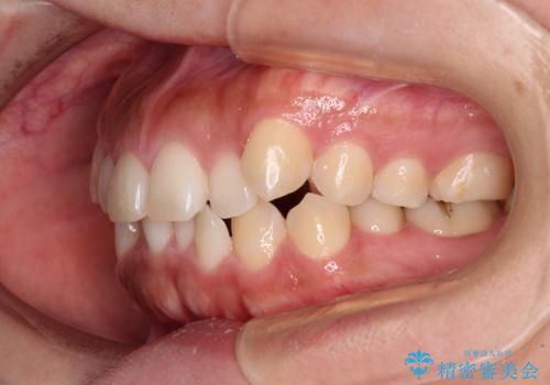
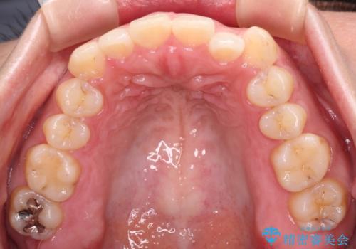
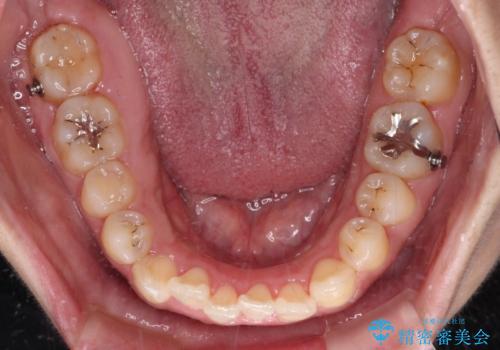
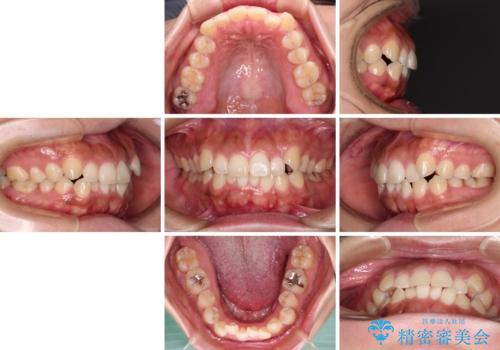
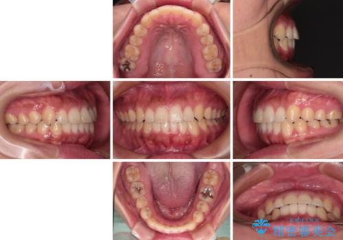
- 前歯の叢生と八重歯を気にして来院された患者様です。
目立たない装置を希望とのことで、インビザラインにて矯正治療を行うこととしました。
インビザライン単体で改善することも可能ですが、八重歯とその後方にある歯列を確実移動させないと、上下正中がずれてしまう可能性があります。
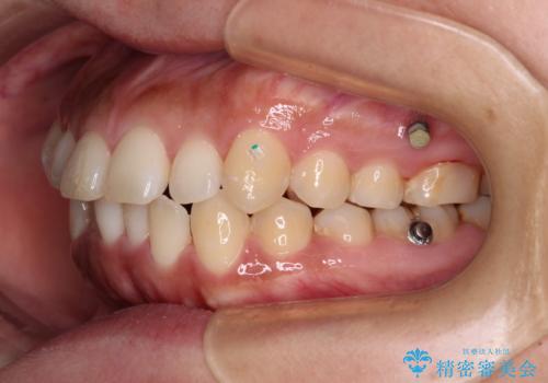
インビザライン単体での治療ではなく、カリエール・ディスタライザーという補助装置を併用して、より確実性を上げることとしました。
補助装置で八重歯を解消しながら、並行してインビザラインで歯列を整えることとしました。
- 費用(概算)
- 治療費の目安: 100万円(税込)費用は治療当時の料金となります
※顔写真掲載にあたり、患者様の了解を得ております
治療について
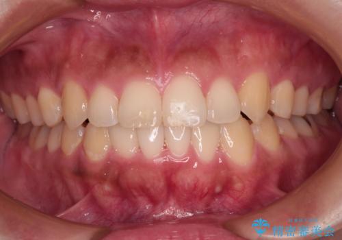
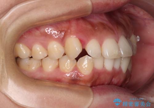
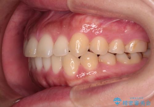
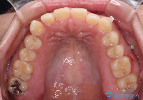
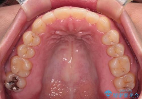
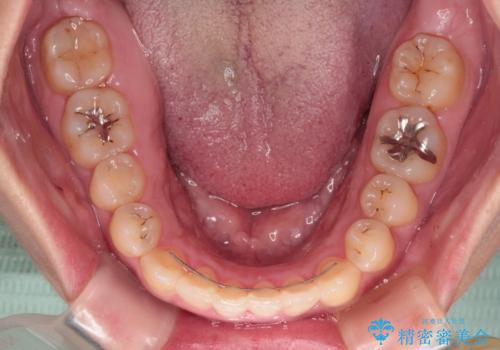
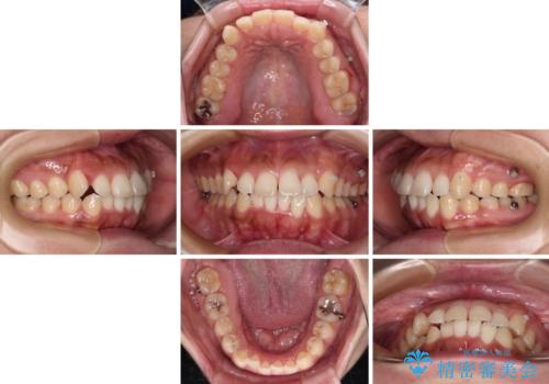
カリエールディスタライザーを併用したことで、すっきりとした口元になり、上下の正中を合わせることができました。
マウスピース矯正の注意事項(リスク・副作用など)
- 口腔内・歯並びの状態によっては対応できない場合があります
- マウスピース型矯正装置の長時間装着(1日20時間以上)が必須です
- 治療計画通りに進めるためには、患者様の意志が重要になります
- 矯正治療後の保定が不十分だと後戻り(元の位置に戻ろうとする動き)をします
- 薬機法対象外の矯正歯科装置のため医薬品副作用被害救済制度の対象外となる場合があります
- 自費診療(保険適用外)となります
当サイトの内容、テキスト、画像等の無断転載、複製、複写、盗用を固く禁じます。




























