症例詳細
Case detail
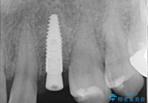
骨造成を伴う 前歯部インプラント治療
治療症例の内容
- 診療科目
- 治療カテゴリ
- 担当医
- 大元洋佑(ドクタープロフィール)
- 患者様
- 20代女性
- 治療期間
- 6ヶ月
- 治療回数
- 5-10回
- 治療計画
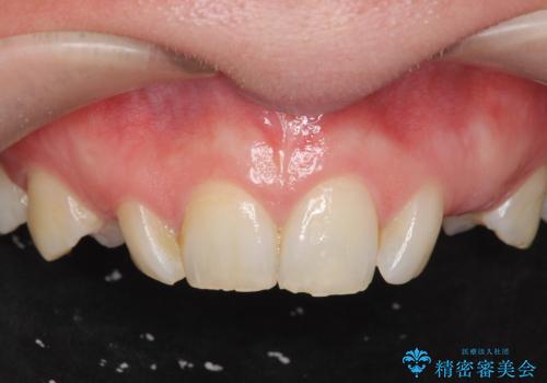
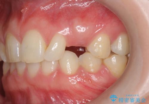
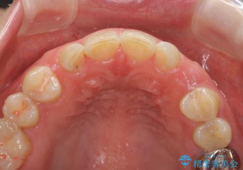
- 欠損している前歯のインプラント治療を希望され来院されました。
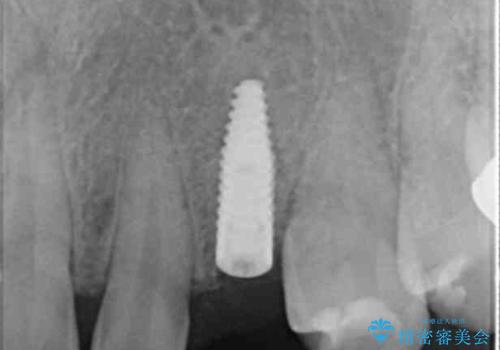
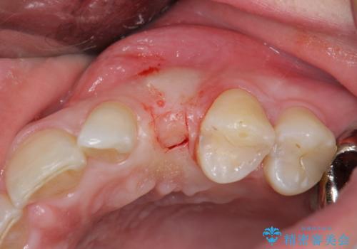
適切なインプラント埋入を行い、不足している骨量を補うため骨の造成を併用したインプラント治療を計画します。
- 費用(概算)
- 55万円費用は治療当時の料金となります
治療について
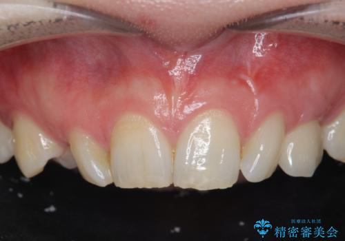
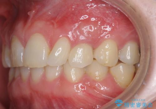
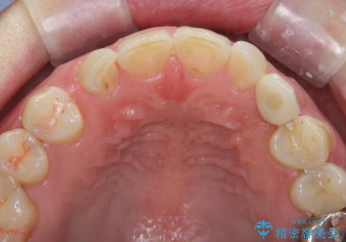
前歯のインプラント治療は骨量・歯肉の厚み・インプラントの方向をしっかりと計画することで、審美的で長持ちを期待できるような仕上がりとなります。
インプラント治療の注意事項(リスク・副作用など)
- 外科手術のため、術後に痛みや腫れ、違和感を伴います
- メンテナンスを怠ったり喫煙により、お口の中に大きな悪影響を及ぼすインプラント周囲炎等にかかる可能性があります
- 糖尿病、肝硬変、心臓病等の場合、インプラント治療ができない可能性があります
- 高血圧、貧血・不整脈等の場合、インプラント治療後に治癒不全を招く可能性があります
- 自費診療(保険適用外治療)となります
当サイトの内容、テキスト、画像等の無断転載、複製、複写、盗用を固く禁じます。




















