症例詳細
Case detail
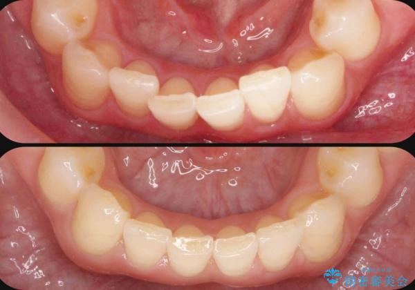
[ インビザラインライトプラン ] 費用を抑えた下顎前歯の小矯正
治療症例の内容
- 診療科目
- 治療カテゴリ
- 担当医
- 大元洋佑(ドクタープロフィール)
- 患者様
- 30代男性
- 矯正装置
- インビザライン
- 治療期間
- 3ヶ月
- 治療回数
- 10-30回
- 治療計画
- 下顎の前歯のガタつきの改善を求めて来院されました。
費用と時間を抑えたいとのことで、下顎の前歯のみの歯を動かし歯並びを改善する計画をインビザラインライトプランで計画します。
インビザラインライト・・・計14枚のマウスピースで行う小矯正
- 費用(概算)
- 33万円 (インビザラインライト 片顎プラン)費用は治療当時の料金となります
治療について
奥歯の歯並びは変えずに前歯の歯並びのみをしっかりと並べる治療計画を立てました。
歯の動きも良好で3ヶ月弱で治療を終えることができました。
マウスピース矯正の注意事項(リスク・副作用など)
- 口腔内・歯並びの状態によっては対応できない場合があります
- マウスピース型矯正装置の長時間装着(1日20時間以上)が必須です
- 治療計画通りに進めるためには、患者様の意志が重要になります
- 矯正治療後の保定が不十分だと後戻り(元の位置に戻ろうとする動き)をします
- 薬機法対象外の矯正歯科装置のため医薬品副作用被害救済制度の対象外となる場合があります
- 自費診療(保険適用外)となります
当サイトの内容、テキスト、画像等の無断転載、複製、複写、盗用を固く禁じます。

![[ インビザラインライトプラン ] 費用を抑えた下顎前歯の小矯正の治療前](https://seimitsushinbi.jp/wp/wp-content/uploads/2023/05/C6-500x350.jpg?v=1684138587)
![[ インビザラインライトプラン ] 費用を抑えた下顎前歯の小矯正の治療後](https://seimitsushinbi.jp/wp/wp-content/uploads/2023/05/C19.1-2-500x350.jpg?v=1684138479)
![[ インビザラインライトプラン ] 費用を抑えた下顎前歯の小矯正の治療前](https://seimitsushinbi.jp/wp/wp-content/uploads/2023/05/C6-2-500x350.jpg?v=1684138576)
![[ インビザラインライトプラン ] 費用を抑えた下顎前歯の小矯正の治療後](https://seimitsushinbi.jp/wp/wp-content/uploads/2023/05/C19-1-500x350.jpg?v=1684138481)
![[ インビザラインライトプラン ] 費用を抑えた下顎前歯の小矯正の治療前](https://seimitsushinbi.jp/wp/wp-content/uploads/2023/05/C1-500x350.jpg?v=1684138594)
![[ インビザラインライトプラン ] 費用を抑えた下顎前歯の小矯正の治療後](https://seimitsushinbi.jp/wp/wp-content/uploads/2023/05/C13-1-500x350.jpg?v=1684138472)
![[ インビザラインライトプラン ] 費用を抑えた下顎前歯の小矯正の治療前](https://seimitsushinbi.jp/wp/wp-content/uploads/2023/05/C3-500x350.jpg?v=1684138595)
![[ インビザラインライトプラン ] 費用を抑えた下顎前歯の小矯正の治療後](https://seimitsushinbi.jp/wp/wp-content/uploads/2023/05/C16-1-500x350.jpg?v=1684138474)
![[ インビザラインライトプラン ] 費用を抑えた下顎前歯の小矯正の治療前](https://seimitsushinbi.jp/wp/wp-content/uploads/2023/05/C4-500x350.jpg?v=1684138598)
![[ インビザラインライトプラン ] 費用を抑えた下顎前歯の小矯正の治療後](https://seimitsushinbi.jp/wp/wp-content/uploads/2023/05/C17-1-500x350.jpg?v=1684138476)
![[ インビザラインライトプラン ] 費用を抑えた下顎前歯の小矯正の治療前](https://seimitsushinbi.jp/wp/wp-content/uploads/2023/05/C5-500x350.jpg?v=1684138600)
![[ インビザラインライトプラン ] 費用を抑えた下顎前歯の小矯正の治療後](https://seimitsushinbi.jp/wp/wp-content/uploads/2023/05/C18-1-500x350.jpg?v=1684138478)