症例詳細
Case detail
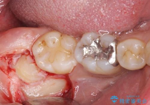
親知らず抜歯
治療症例の内容
- 診療科目
- 治療カテゴリ
- 担当医
- 青山卓弘(ドクタープロフィール)
- 患者様
- 40代女性
- 治療期間
- 1ヶ月
- 治療回数
- 2-5回
- 治療計画
- 親知らずの抜歯を希望された患者様です。
CTを撮り下顎の神経が近くない事を確認し抜歯を行いました。
- 費用(概算)
- 保険適用費用は治療当時の料金となります
治療について
親知らずの場所は磨きにくく、虫歯になるリスクが非常に高いです。
また親知らずの手前の歯の虫歯のリスクが高くなります。
なので虫歯になる前に抜歯をすることをお勧めします。
外科処置の注意事項(リスク・副作用など)
- 外科手術のため、術後に出血、痛みや腫れ、違和感を伴います
- 口腔内の状態によっては適応できないことがあります
保険治療の注意事項(リスク・副作用など)
- 保険医が保険医療機関において健康保険法、医師法、医療法等の各種関係法令の規定を遵守し、『療養担当規則』の規定を遵守し、医学的に妥当適切な診療を行い、診療報酬点数表に定められたとおりに請求を行っています
- 使用する材料・素材や治療方法に制約があります
- 健康保険適用となります
当サイトの内容、テキスト、画像等の無断転載、複製、複写、盗用を固く禁じます。






