症例詳細
Case detail
【インビザライン】前歯を下げたい
治療症例の内容
- 診療科目
- 治療カテゴリ
- 担当医
- 河口智英(ドクタープロフィール)
- 患者様
- 20代女性
- 治療期間
- 1年6ヶ月
- 治療回数
- 10-30回
- 治療計画
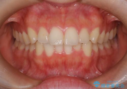
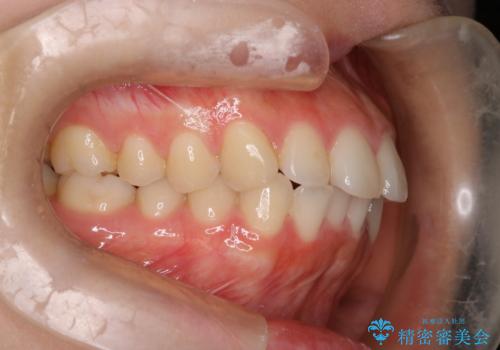
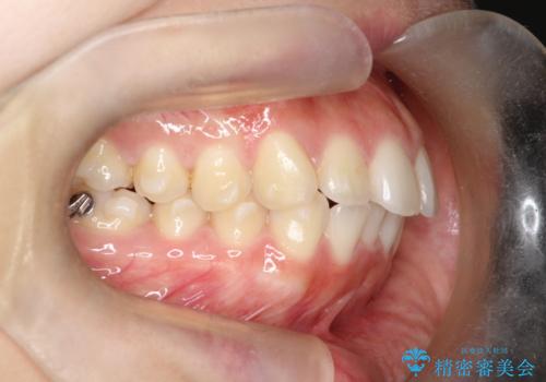
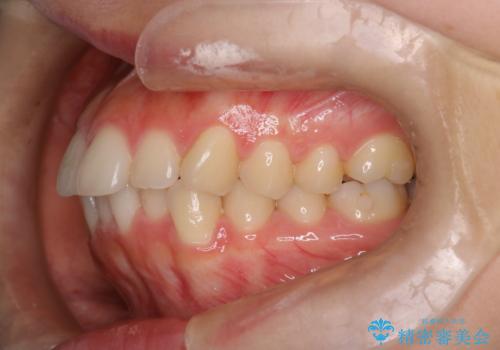
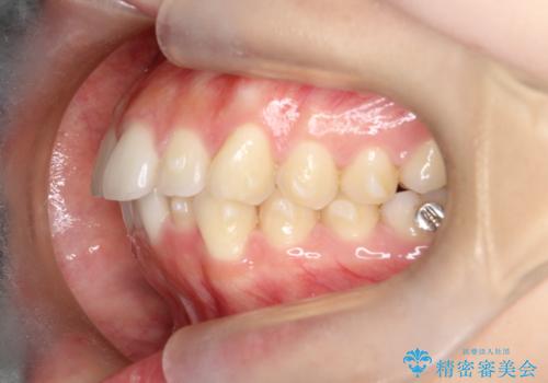
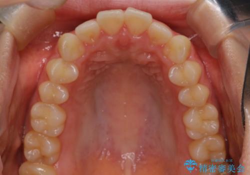
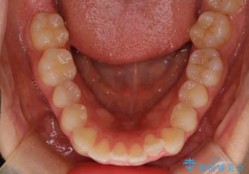
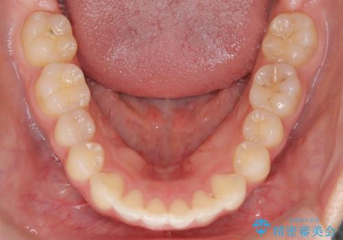
- 前歯が出ていることを主訴に来院されました。
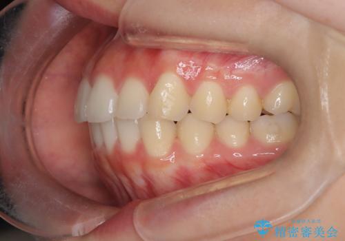
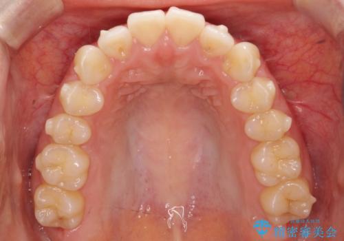
奥歯を後ろに動かしながらスペースを作ることで、前歯を下げることができ患者さんにも満足していただきました。
- 費用(概算)
- 80万円費用は治療当時の料金となります
治療について
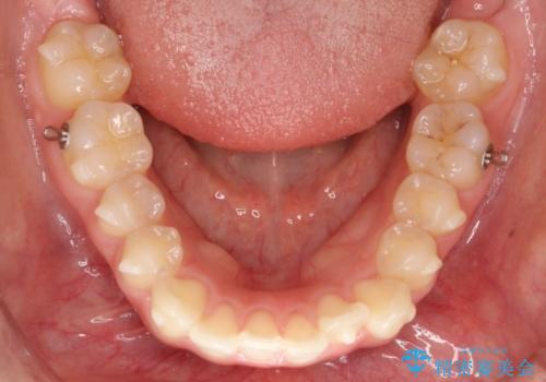
治療中に顎間ゴムを使用していただいたおかげで、スムーズに治療を行うことができました。
マウスピース矯正の注意事項(リスク・副作用など)
- 口腔内・歯並びの状態によっては対応できない場合があります
- マウスピース型矯正装置の長時間装着(1日20時間以上)が必須です
- 治療計画通りに進めるためには、患者様の意志が重要になります
- 矯正治療後の保定が不十分だと後戻り(元の位置に戻ろうとする動き)をします
- 薬機法対象外の矯正歯科装置のため医薬品副作用被害救済制度の対象外となる場合があります
- 自費診療(保険適用外)となります
当サイトの内容、テキスト、画像等の無断転載、複製、複写、盗用を固く禁じます。















