症例詳細
Case detail
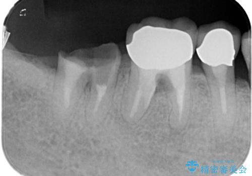
【インプラント】 他院で入れた被せ物が取れた
治療症例の内容
- 患者様
- 50代男性
- 治療期間
- 1年
- 治療回数
- 5-10回
- 治療計画
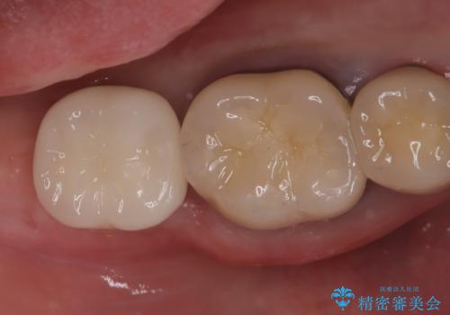
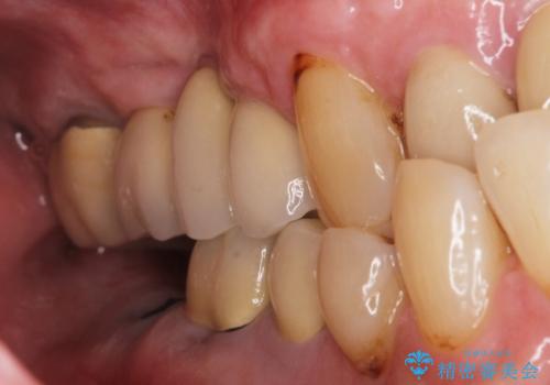
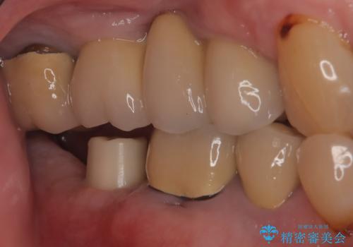
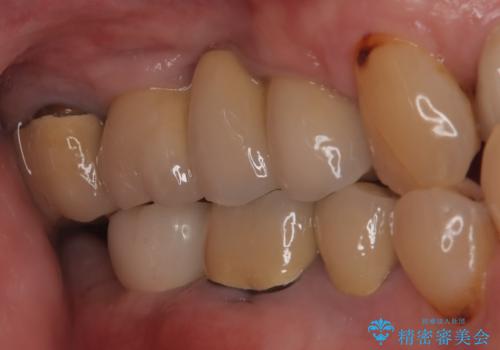
- 「他院で治療した被せ物が外れた」を主訴に来院された患者様です。診査診断を行い歯の保存が困難だったため抜歯後、インプラントで治療しました。
- 費用(概算)
- 44万円費用は治療当時の料金となります
治療について
インプラントを入れるためには十分な骨の高さと幅が必要です。術前に検査を行い必要であれば別途、骨や角化歯肉を増やす治療も行う事があります。
インプラントの土台と被せ物は適合が良い物を制作するため、シリコン印象材を使用し型を取っています。
インプラント治療の注意事項(リスク・副作用など)
- 外科手術のため、術後に痛みや腫れ、違和感を伴います
- メンテナンスを怠ったり喫煙により、お口の中に大きな悪影響を及ぼすインプラント周囲炎等にかかる可能性があります
- 糖尿病、肝硬変、心臓病等の場合、インプラント治療ができない可能性があります
- 高血圧、貧血・不整脈等の場合、インプラント治療後に治癒不全を招く可能性があります
- 自費診療(保険適用外治療)となります
当サイトの内容、テキスト、画像等の無断転載、複製、複写、盗用を固く禁じます。














