症例詳細
Case detail
外れてしまった銀歯 セラミックインレーで自然な仕上がりに
治療症例の内容
- 診療科目
- 治療カテゴリ
- 担当医
- 藤巻太一朗(ドクタープロフィール)
- 患者様
- 50代女性
- 治療期間
- 1ヶ月
- 治療回数
- 2-5回
- 治療計画
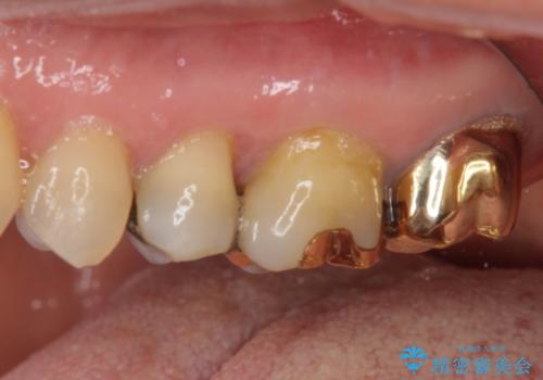
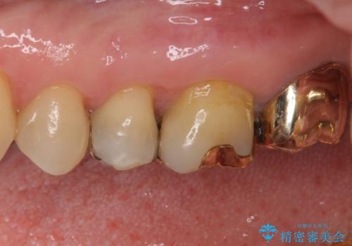
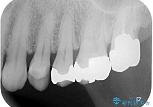
- 奥歯の銀歯が外れてしまったため、セラミック治療を希望された患者様です。
セラミックインレーによる修復治療を実施しました。
- 費用(概算)
- 治療費の目安: 8万円(税込)費用は治療当時の料金となります
治療について
正面から見える場所であったため、セラミックインレーで自然な口元にすることができました。
セラミック治療の注意事項(リスク・副作用など)
- 天然歯を削ります
- 硬い素材は天然歯を傷つけてしまう場合があります
- かみ合わせや歯ぎしりが強すぎる方はセラミックが割れてしまう可能性があります
- 自費診療(保険適用外治療)となります
当サイトの内容、テキスト、画像等の無断転載、複製、複写、盗用を固く禁じます。











