症例詳細
Case detail
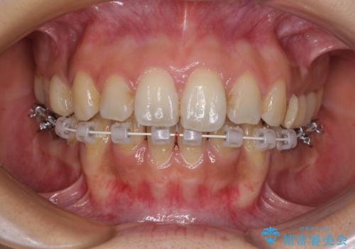
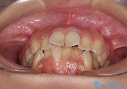
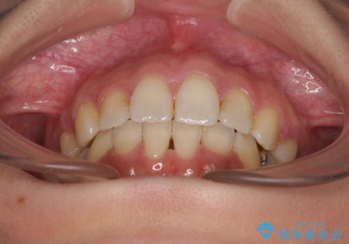
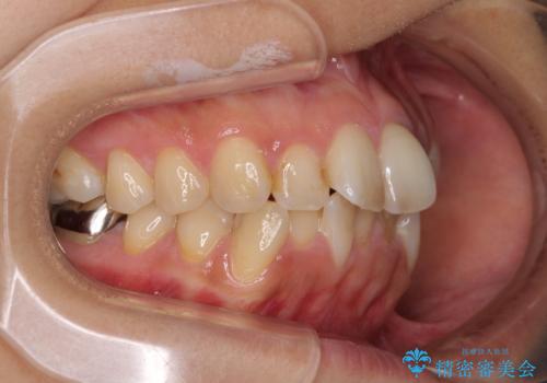
デコボコと口元の突出感 ハーフリンガルでの抜歯矯正
治療症例の内容
- 担当医
- 藤巻太一朗(ドクタープロフィール)
- 患者様
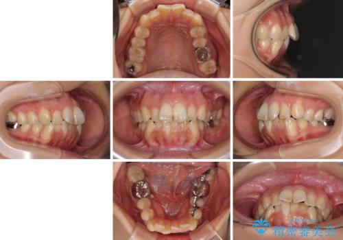
- 20代女性
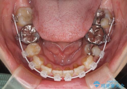
- 矯正装置
- ハーフリンガル
- 治療期間
- 3年4ヶ月
- 治療回数
- 10-30回
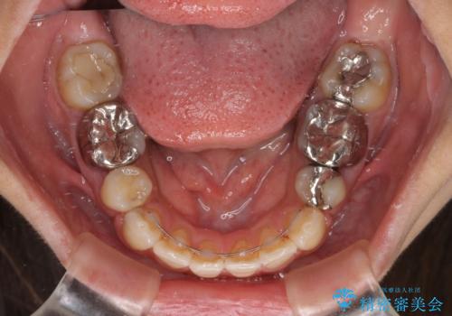
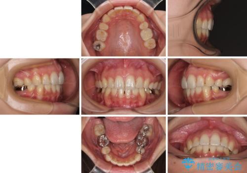
- 治療計画
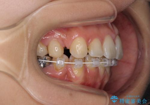
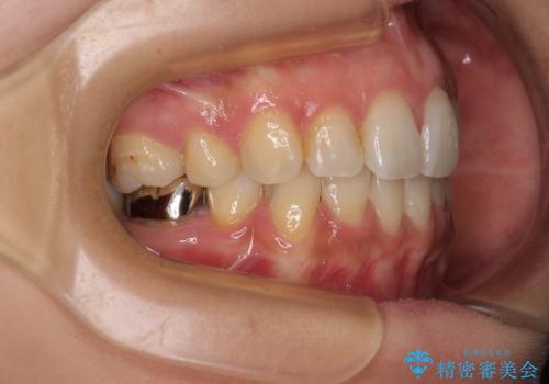
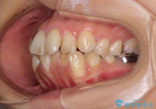
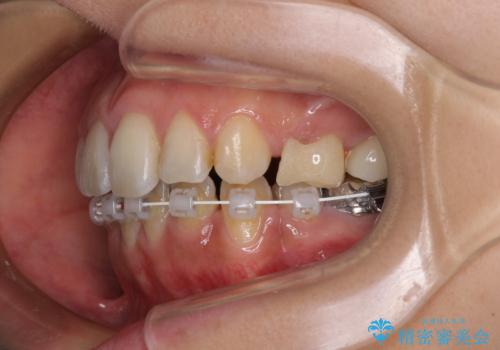
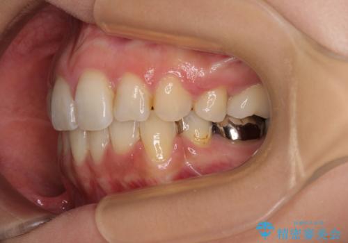
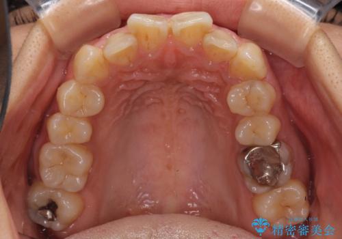
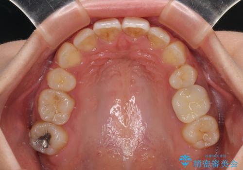
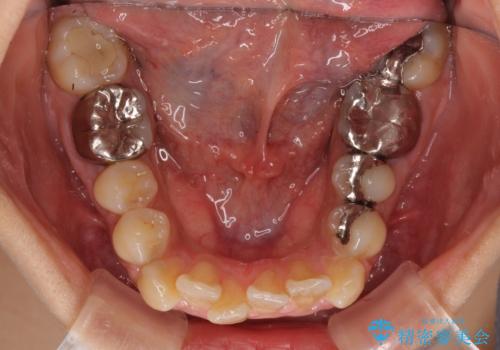
- 前歯のデコボコと上顎の前突感による口の閉じにくさを気にして来院された患者様です。
目立たない装置を希望されたので、上顎が裏側装置のハーフリンガルを選択し、上下左右の小臼歯(計4歯)を抜歯して矯正治療を行うこととしました。
- 費用(概算)
- 治療費の目安: 130万円(税込)費用は治療当時の料金となります
治療について
表側のワイヤー矯正に比べると治療期間は長く、費用も高額となりますが、どうしても目立たせたくないという方にはお勧めの抜歯矯正です。
ワイヤー矯正の注意事項(リスク・副作用など)
- 治療中は違和感や痛みが起こることがあります
- 症状により、抜歯が必要な場合があります
- 治療中は歯磨きがしにくくなるため、虫歯や歯周病になりやすくなります
- 矯正治療後の保定が不十分だと後戻り(元の位置に戻ろうとする動き)をします
- 自費診療(保険適用外)となります
当サイトの内容、テキスト、画像等の無断転載、複製、複写、盗用を固く禁じます。


























