症例詳細
Case detail
上顎前歯の突出を軽減 インビザラインによる抜歯矯正
治療症例の内容
- 診療科目
- 治療カテゴリ
- 担当医
- 藤巻太一朗(ドクタープロフィール)
- 患者様
- 30代女性
- 矯正装置
- インビザライン
- 治療期間
- 3年4ヶ月
- 治療回数
- 10-30回
- 治療計画
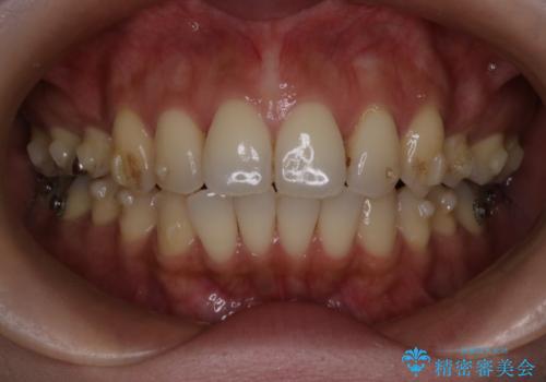
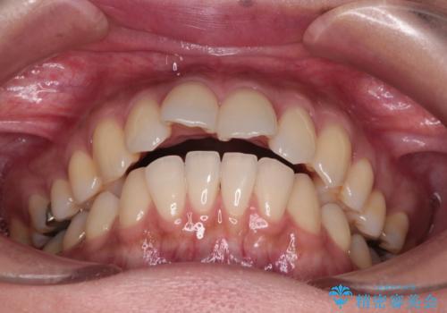
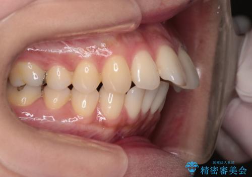
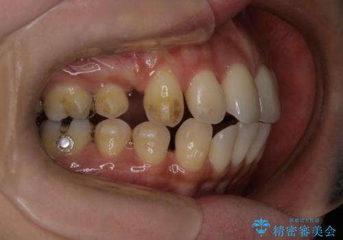
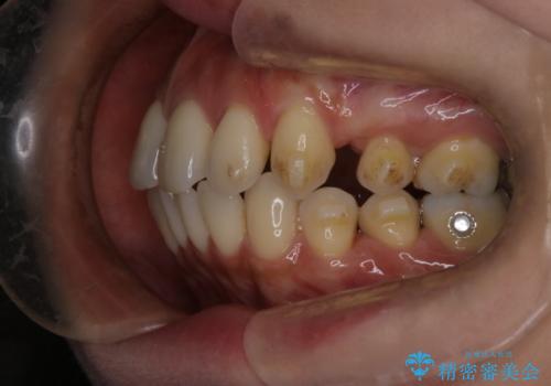
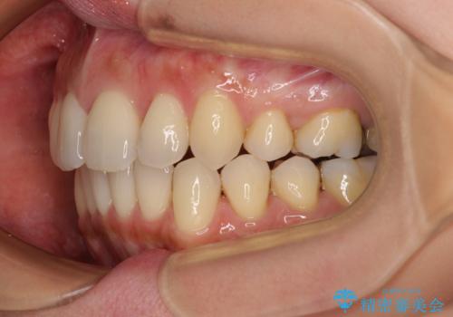
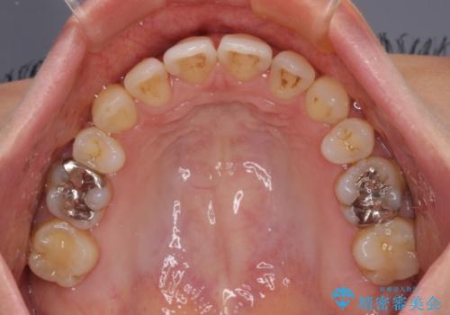
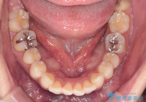
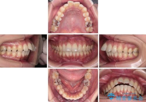
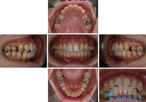
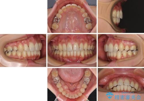
- 上の前歯の突出感を気にして来院された患者様です。
目立たない装置を希望とのことで、上顎左右第一小臼歯を抜歯し、インビザラインにて矯正治療を行うこととしました。
- 費用(概算)
- 治療費の目安: 105万円(税込)費用は治療当時の料金となります
治療について
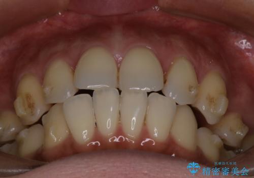
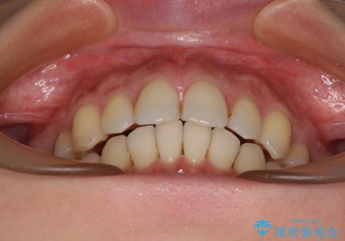
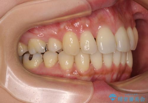
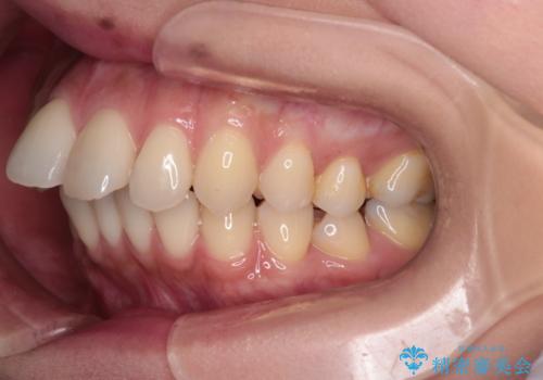
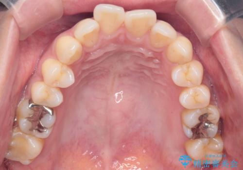
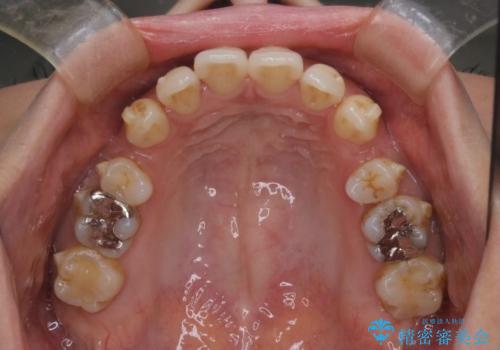
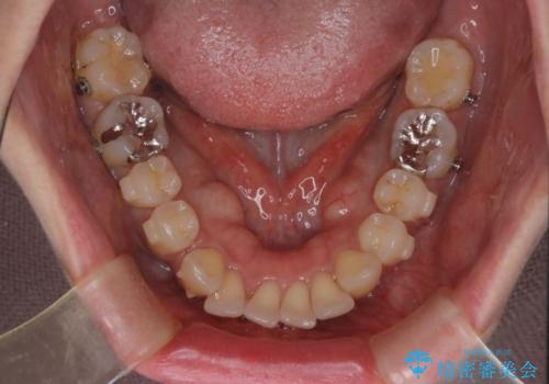
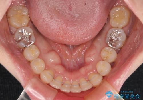
インビザラインにて抜歯矯正を行うと、高頻度で奥歯が咬み合わなくなります。
また、抜歯スペースに向けて奥歯が移動する際、必ず傾斜して移動するため、仕上がりの咬み合わせはワイヤー矯正と比べて明らかに劣ります。
抜歯スペースが閉じてからも咬みにくさ改善のためマウスピース矯正を継続するため、治療期間は長期化します。
マウスピース矯正の注意事項(リスク・副作用など)
- 口腔内・歯並びの状態によっては対応できない場合があります
- マウスピース型矯正装置の長時間装着(1日20時間以上)が必須です
- 治療計画通りに進めるためには、患者様の意志が重要になります
- 矯正治療後の保定が不十分だと後戻り(元の位置に戻ろうとする動き)をします
- 薬機法対象外の矯正歯科装置のため医薬品副作用被害救済制度の対象外となる場合があります
- 自費診療(保険適用外)となります
当サイトの内容、テキスト、画像等の無断転載、複製、複写、盗用を固く禁じます。

























