症例詳細
Case detail
前歯が欠ける
治療症例の内容
- 診療科目
- 治療カテゴリ
- 担当医
- 河野裕二(ドクタープロフィール)
- 患者様
- 30代女性
- 治療期間
- 4ヶ月
- 治療回数
- 2-5回
- 治療計画
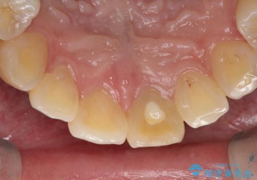
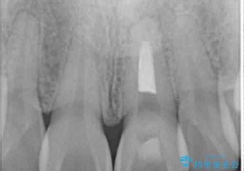
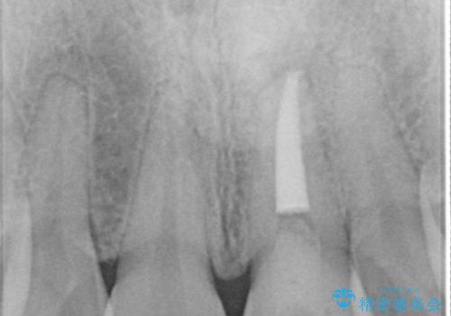
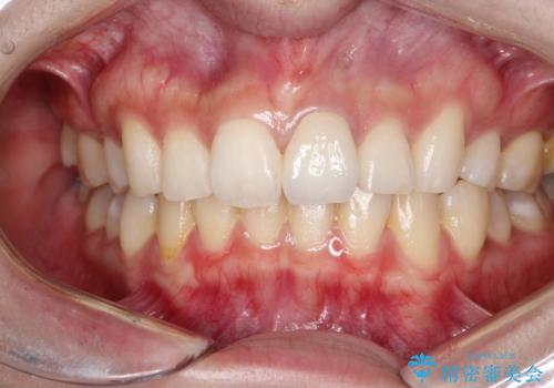
- 前歯が、ポロポロ欠けてくることを主訴で来院された女性です。
以前に根の治療しましたが、最近になって色なども気になり来院されました。
- 費用(概算)
- 253,000円費用は治療当時の料金となります
治療について
神経の治療をしている歯は、時間と共に色がどんどん変色していきます。
また、神経、血液供給がなくなってしまう影響から歯も脆くなっていってしまうため、歯が割れてしまうリスクもあります。
セラミック治療の注意事項(リスク・副作用など)
- 天然歯を削ります
- 硬い素材は天然歯を傷つけてしまう場合があります
- かみ合わせや歯ぎしりが強すぎる方はセラミックが割れてしまう可能性があります
- 自費診療(保険適用外治療)となります
当サイトの内容、テキスト、画像等の無断転載、複製、複写、盗用を固く禁じます。








