症例詳細
Case detail
マウスピース矯正で行う出っ歯の治療
治療症例の内容
- 診療科目
- 担当医
- 大元洋佑(ドクタープロフィール)
- 患者様
- 20代女性
- 治療期間
- 1年6ヶ月
- 治療回数
- 10-30回
- 治療計画
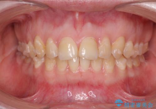
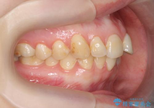
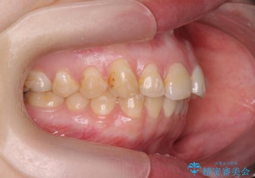
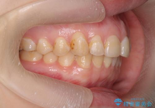
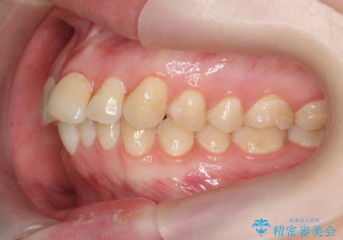
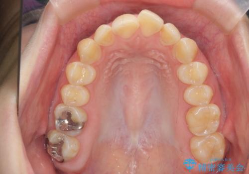
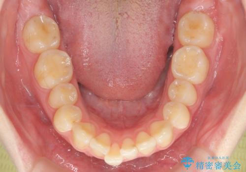
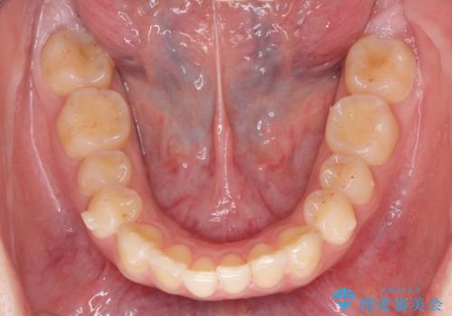
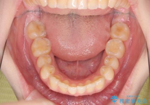
- 飛び出したように見える前歯の改善を求めて来院されました。
元々、セラミッククラウンですぐに歯並びを改善したいと希望されていましたが、目立たないマウスピース矯正治療のご提案を行なったところ矯正治療による歯並びの改善を選択されました。
セラミック治療による歯並びの改善は、早期に治療を終えることができるメリットがありますが歯を削らなくてはいけないというリスクを伴います。
- 費用(概算)
- 88万円費用は治療当時の料金となります
治療について
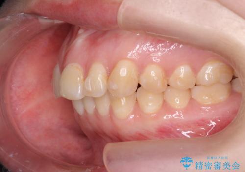
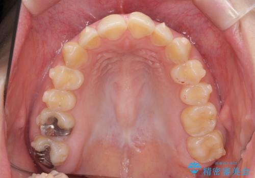
矯正治療を行ったことで出っ歯の改善とともに安定した噛み合わせも手に入れることができました。
マウスピース矯正の注意事項(リスク・副作用など)
- 口腔内・歯並びの状態によっては対応できない場合があります
- マウスピース型矯正装置の長時間装着(1日20時間以上)が必須です
- 治療計画通りに進めるためには、患者様の意志が重要になります
- 矯正治療後の保定が不十分だと後戻り(元の位置に戻ろうとする動き)をします
- 薬機法対象外の矯正歯科装置のため医薬品副作用被害救済制度の対象外となる場合があります
- 自費診療(保険適用外)となります
当サイトの内容、テキスト、画像等の無断転載、複製、複写、盗用を固く禁じます。















