症例詳細
Case detail
銀の詰め物を白くしたい セラミックインレーでの治療
治療症例の内容
- 診療科目
- 治療カテゴリ
- 担当医
- 岡田康成(ドクタープロフィール)
- 患者様
- 30代男性
- 治療期間
- 1ヶ月
- 治療回数
- 2-5回
- 治療計画
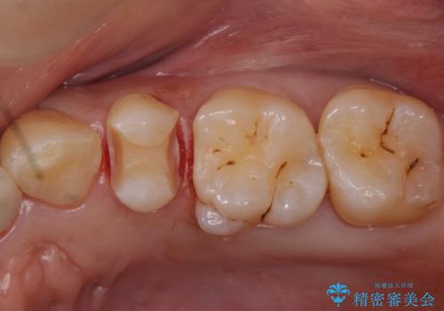
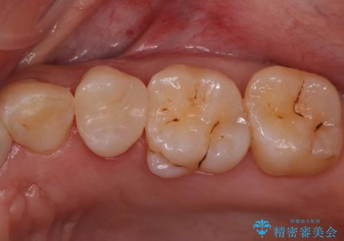
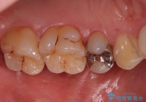
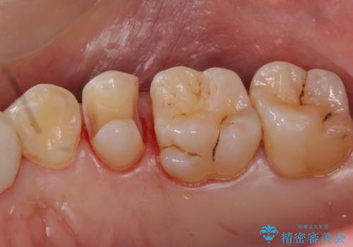
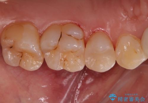
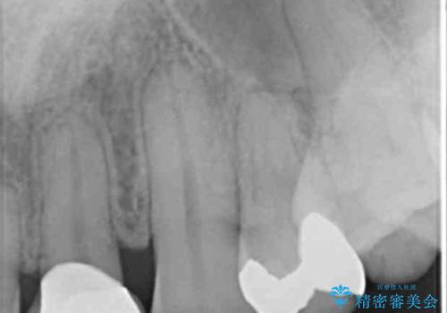
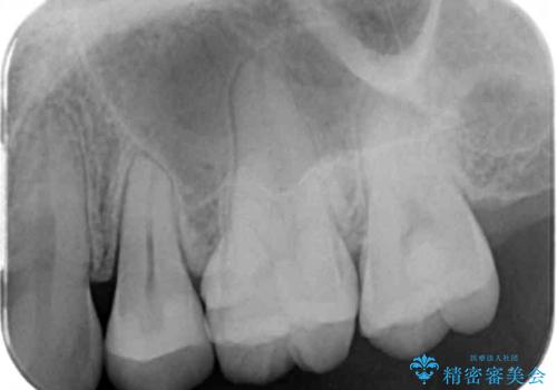
- 銀歯が気になるためやり替えたいとのことで来院されました。
セラミックインレーで治療を行いました。
- 費用(概算)
- 左上5 セラミックインレー 77,000円費用は治療当時の料金となります
治療について
口の中にチラつく銀歯は適合の良いセラミックインレーでやり替えることで綺麗にやり替えることができます。
セラミック治療の注意事項(リスク・副作用など)
- 天然歯を削ります
- 硬い素材は天然歯を傷つけてしまう場合があります
- かみ合わせや歯ぎしりが強すぎる方はセラミックが割れてしまう可能性があります
- 自費診療(保険適用外治療)となります
当サイトの内容、テキスト、画像等の無断転載、複製、複写、盗用を固く禁じます。








