症例詳細
Case detail
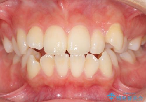
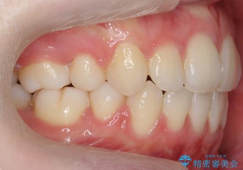
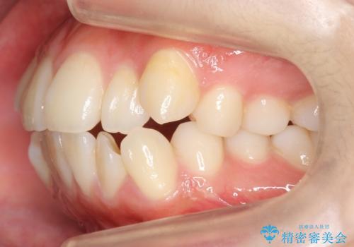
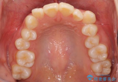
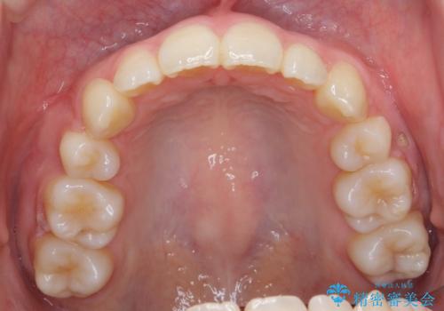
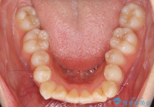
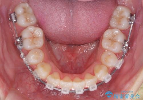
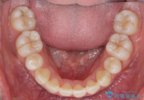
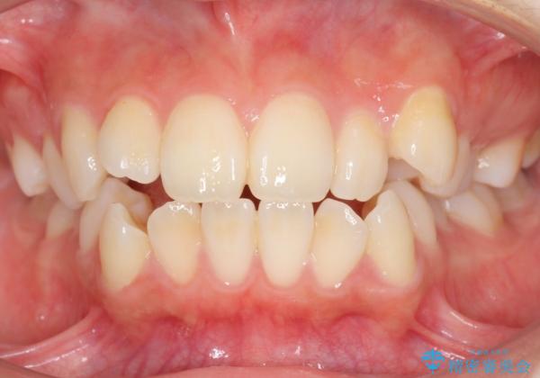
八重歯 歯並びのがたつき
治療症例の内容
- 患者様
- 20代女性
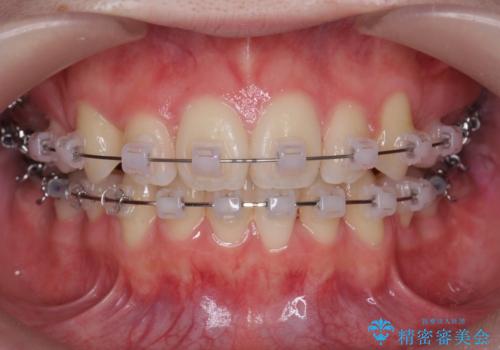
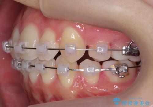
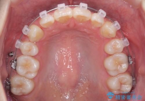
- 矯正装置
- ワイヤー矯正
- 治療期間
- 3年
- 治療回数
- 10-30回
- 治療計画
- 八重歯を主訴に来院。
上下の小臼歯を抜歯しワイヤー矯正を行いました。
- 費用(概算)
- 110万円費用は治療当時の料金となります
治療について
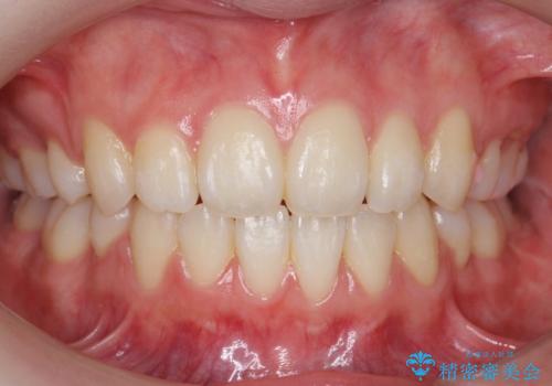
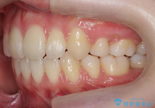
前歯が上下かぶさりが浅い開咬という症状もありましたが、抜歯をしたことでしっかり治してあります。
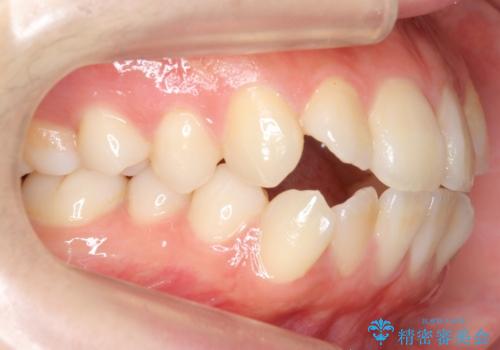
奥歯も1歯対2歯の関係でしっかり治療しました。
ワイヤー矯正の注意事項(リスク・副作用など)
- 治療中は違和感や痛みが起こることがあります
- 症状により、抜歯が必要な場合があります
- 治療中は歯磨きがしにくくなるため、虫歯や歯周病になりやすくなります
- 矯正治療後の保定が不十分だと後戻り(元の位置に戻ろうとする動き)をします
- 自費診療(保険適用外)となります
当サイトの内容、テキスト、画像等の無断転載、複製、複写、盗用を固く禁じます。





















