症例詳細
Case detail
虫歯の再発リスクを減らすセラミックインレー
治療症例の内容
- 診療科目
- 治療カテゴリ
- 担当医
- 河口智英(ドクタープロフィール)
- 患者様
- 30代男性
- 治療期間
- 1ヶ月
- 治療回数
- 2-5回
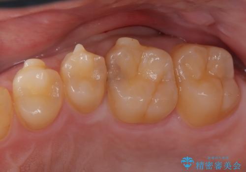
- 治療計画
- 他院でインビザラインの治療中に虫歯を発見されたため、治療を希望され来院された患者様です。
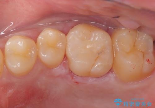
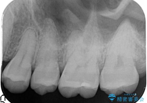
セラミックインレーにて治療を行いました。
- 費用(概算)
- 7万円費用は治療当時の料金となります
治療について
セラミックインレーは適合が良く、虫歯の再発リスクを減らすことができます。
セラミック治療の注意事項(リスク・副作用など)
- 天然歯を削ります
- 硬い素材は天然歯を傷つけてしまう場合があります
- かみ合わせや歯ぎしりが強すぎる方はセラミックが割れてしまう可能性があります
- 自費診療(保険適用外治療)となります
当サイトの内容、テキスト、画像等の無断転載、複製、複写、盗用を固く禁じます。





