症例詳細
Case detail
前歯の後戻り インビザラインでの再矯正治療
治療症例の内容
- 担当医
- 藤巻太一朗(ドクタープロフィール)
- 患者様
- 40代女性
- 矯正装置
- インビザライン
- 治療期間
- 10ヶ月
- 治療回数
- 5-10回
- 治療計画
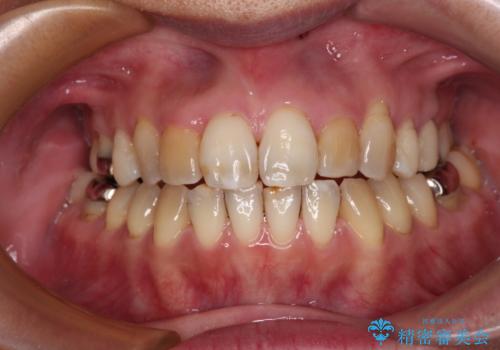
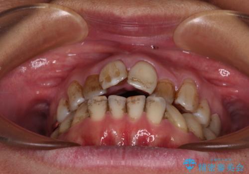
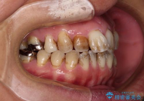
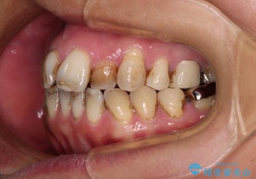
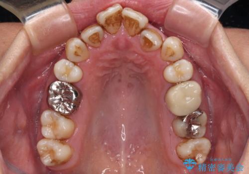
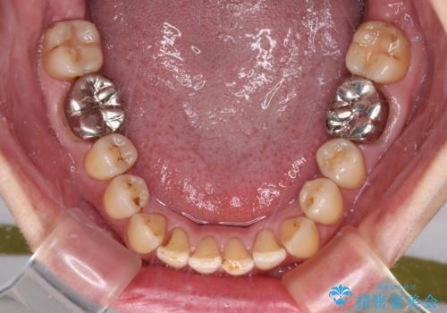
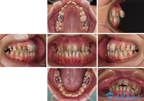
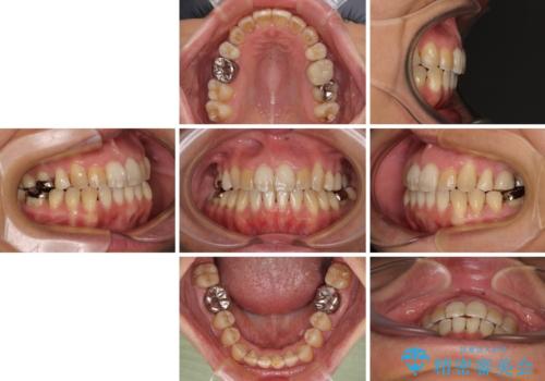
- かつて抜歯矯正を行ったものの、後戻りをしてしまったとのことで来院された患者様です。
上顎前歯が前突し、隣の歯が裏側に移動してきている状態でした。
飲み込みの状態を確認したところ、舌の突出癖が認められたため、それによる後戻りの可能性が高いと考え、舌のトレーニングを指導しました。
- 費用(概算)
- 治療費の目安: 88万円(税込)費用は治療当時の料金となります
治療について
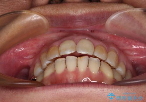
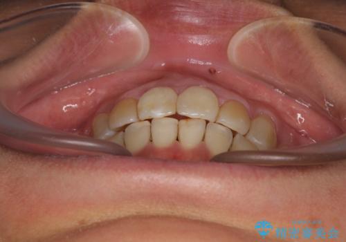
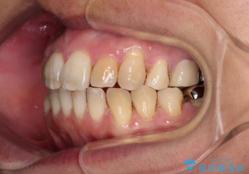
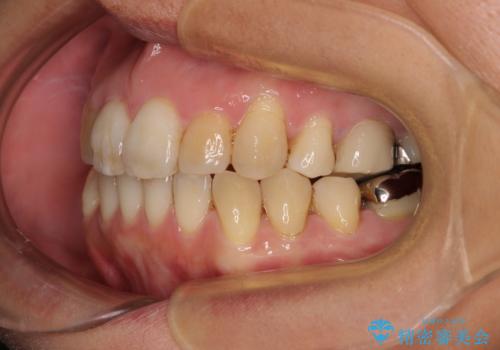
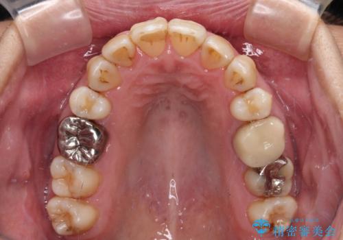
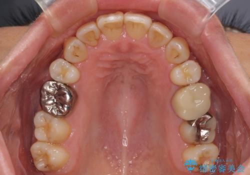
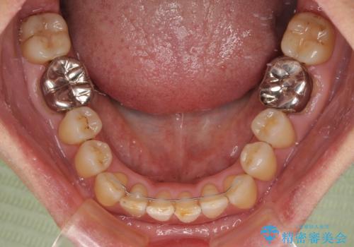
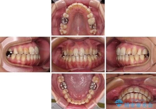
舌のトレーニングをしっかりと行ってくださり、10ヶ月で希望通りの歯列となりました。
日頃から飲まれる飲み物の影響で着色しやすいため、来院の度に着色除去のクリーニングも行っていました。
マウスピース矯正の注意事項(リスク・副作用など)
- 口腔内・歯並びの状態によっては対応できない場合があります
- マウスピース型矯正装置の長時間装着(1日20時間以上)が必須です
- 治療計画通りに進めるためには、患者様の意志が重要になります
- 矯正治療後の保定が不十分だと後戻り(元の位置に戻ろうとする動き)をします
- 薬機法対象外の矯正歯科装置のため医薬品副作用被害救済制度の対象外となる場合があります
- 自費診療(保険適用外)となります
当サイトの内容、テキスト、画像等の無断転載、複製、複写、盗用を固く禁じます。



























