症例詳細
Case detail
かみ合わせが悪いところを ワイヤー矯正でしっかり治療 マウスピース矯正は難しい症例
治療症例の内容
- 診療科目
- 担当医
- 井上季実子(ドクタープロフィール)
- 患者様
- 20代女性
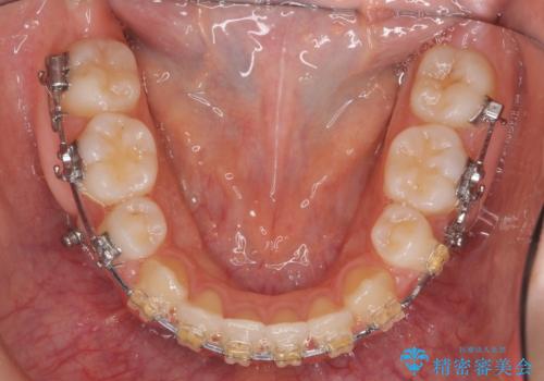
- 矯正装置
- ワイヤー矯正
- 治療期間
- 3年
- 治療回数
- 10-30回
- 治療計画
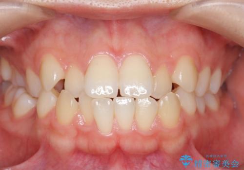
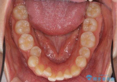
- 歯並びが気になるとのことで来院。
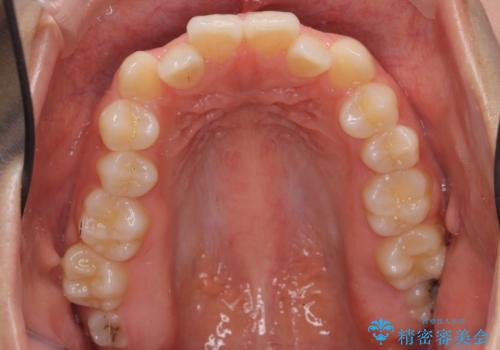
前歯、奥歯ともに反対咬合になっており、また上顎の前歯が少し突出気味でした。
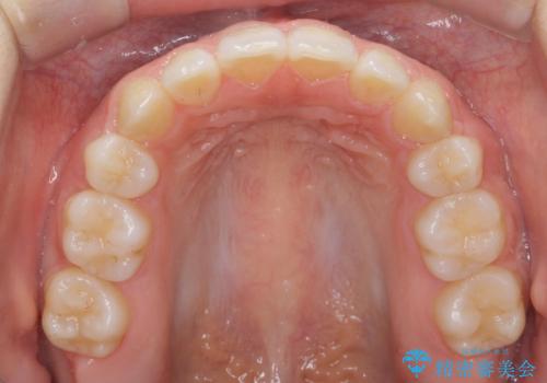
上下左右の小臼歯を抜歯しています。
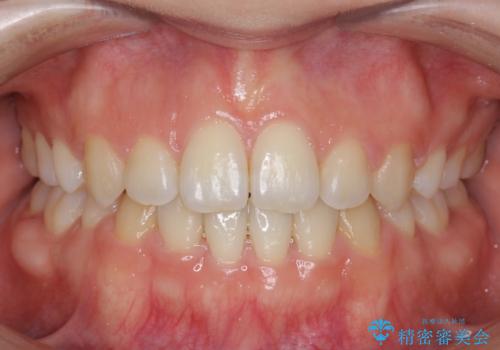
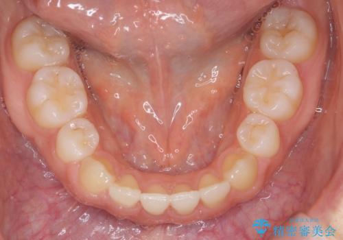
時間はかかりましたがしっかりかみ合わせから治すことができました。
- 費用(概算)
- 110万円費用は治療当時の料金となります
治療について
臼歯の反対咬合は簡便なマウスピース矯正で治すのは難しいです。
口元の突出も改善しており理想的な横顔になりました。
ワイヤー矯正の注意事項(リスク・副作用など)
- 治療中は違和感や痛みが起こることがあります
- 症状により、抜歯が必要な場合があります
- 治療中は歯磨きがしにくくなるため、虫歯や歯周病になりやすくなります
- 矯正治療後の保定が不十分だと後戻り(元の位置に戻ろうとする動き)をします
- 自費診療(保険適用外)となります
当サイトの内容、テキスト、画像等の無断転載、複製、複写、盗用を固く禁じます。





















