症例詳細
Case detail
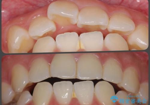
[ インビザラインライト ] 14枚で行う前歯のみの短期間マウスピース矯正
治療症例の内容
- 診療科目
- 担当医
- 大元洋佑(ドクタープロフィール)
- 患者様
- 20代女性
- 治療期間
- 6ヶ月
- 治療回数
- 2-5回
- 治療計画
- 前歯のガタつきの改善を求めて来院されました。
短期間で治療を終えたいことと、費用を抑えたいとの希望を鑑みて、14枚のマウスピースで行うインビザライン ライトプランで前歯のがたつきを改善していきます。
- 費用(概算)
- 495,000費用は治療当時の料金となります
治療について
短期間で成果を出すために、奥歯は噛み合わせを変えないような設定で前歯のみの矯正治療を行っています。
マウスピース矯正の注意事項(リスク・副作用など)
- 口腔内・歯並びの状態によっては対応できない場合があります
- マウスピース型矯正装置の長時間装着(1日20時間以上)が必須です
- 治療計画通りに進めるためには、患者様の意志が重要になります
- 矯正治療後の保定が不十分だと後戻り(元の位置に戻ろうとする動き)をします
- 薬機法対象外の矯正歯科装置のため医薬品副作用被害救済制度の対象外となる場合があります
- 自費診療(保険適用外)となります
当サイトの内容、テキスト、画像等の無断転載、複製、複写、盗用を固く禁じます。

![[ インビザラインライト ] 14枚で行う前歯のみの短期間マウスピース矯正の治療前](https://seimitsushinbi.jp/wp/wp-content/uploads/2023/03/IMG_0816.1-500x350.jpg?v=1678679756)
![[ インビザラインライト ] 14枚で行う前歯のみの短期間マウスピース矯正の治療中](https://seimitsushinbi.jp/wp/wp-content/uploads/2023/03/IMG_9893.1-500x350.jpg?v=1678679667)
![[ インビザラインライト ] 14枚で行う前歯のみの短期間マウスピース矯正の治療後](https://seimitsushinbi.jp/wp/wp-content/uploads/2023/03/IMG_0012.1-500x350.jpg?v=1678679708)
![[ インビザラインライト ] 14枚で行う前歯のみの短期間マウスピース矯正の治療前](https://seimitsushinbi.jp/wp/wp-content/uploads/2023/03/IMG_0817.1-500x350.jpg?v=1678679762)
![[ インビザラインライト ] 14枚で行う前歯のみの短期間マウスピース矯正の治療中](https://seimitsushinbi.jp/wp/wp-content/uploads/2023/03/IMG_9894.1-500x350.jpg?v=1678679671)
![[ インビザラインライト ] 14枚で行う前歯のみの短期間マウスピース矯正の治療後](https://seimitsushinbi.jp/wp/wp-content/uploads/2023/03/IMG_0013.1-500x350.jpg?v=1678679713)
![[ インビザラインライト ] 14枚で行う前歯のみの短期間マウスピース矯正の治療前](https://seimitsushinbi.jp/wp/wp-content/uploads/2023/03/IMG_0813-500x350.jpg?v=1678679748)
![[ インビザラインライト ] 14枚で行う前歯のみの短期間マウスピース矯正の治療中](https://seimitsushinbi.jp/wp/wp-content/uploads/2023/03/IMG_9890-500x350.jpg?v=1678679661)
![[ インビザラインライト ] 14枚で行う前歯のみの短期間マウスピース矯正の治療後](https://seimitsushinbi.jp/wp/wp-content/uploads/2023/03/IMG_0009-500x350.jpg?v=1678679699)
![[ インビザラインライト ] 14枚で行う前歯のみの短期間マウスピース矯正の治療前](https://seimitsushinbi.jp/wp/wp-content/uploads/2023/03/IMG_0814-500x350.jpg?v=1678679751)
![[ インビザラインライト ] 14枚で行う前歯のみの短期間マウスピース矯正の治療中](https://seimitsushinbi.jp/wp/wp-content/uploads/2023/03/IMG_9891-500x350.jpg?v=1678679663)
![[ インビザラインライト ] 14枚で行う前歯のみの短期間マウスピース矯正の治療後](https://seimitsushinbi.jp/wp/wp-content/uploads/2023/03/IMG_0010-500x350.jpg?v=1678679702)
![[ インビザラインライト ] 14枚で行う前歯のみの短期間マウスピース矯正の治療前](https://seimitsushinbi.jp/wp/wp-content/uploads/2023/03/IMG_0815-500x350.jpg?v=1678679754)
![[ インビザラインライト ] 14枚で行う前歯のみの短期間マウスピース矯正の治療中](https://seimitsushinbi.jp/wp/wp-content/uploads/2023/03/IMG_9892-500x350.jpg?v=1678679665)
![[ インビザラインライト ] 14枚で行う前歯のみの短期間マウスピース矯正の治療後](https://seimitsushinbi.jp/wp/wp-content/uploads/2023/03/IMG_0011-500x350.jpg?v=1678679705)
![[ インビザラインライト ] 14枚で行う前歯のみの短期間マウスピース矯正の治療前](https://seimitsushinbi.jp/wp/wp-content/uploads/2023/03/IMG_0816-500x350.jpg?v=1678679759)
![[ インビザラインライト ] 14枚で行う前歯のみの短期間マウスピース矯正の治療中](https://seimitsushinbi.jp/wp/wp-content/uploads/2023/03/IMG_9893-500x350.jpg?v=1678679669)
![[ インビザラインライト ] 14枚で行う前歯のみの短期間マウスピース矯正の治療後](https://seimitsushinbi.jp/wp/wp-content/uploads/2023/03/IMG_0012-500x350.jpg?v=1678679711)
![[ インビザラインライト ] 14枚で行う前歯のみの短期間マウスピース矯正の治療前](https://seimitsushinbi.jp/wp/wp-content/uploads/2023/03/IMG_0817-500x350.jpg?v=1678679765)
![[ インビザラインライト ] 14枚で行う前歯のみの短期間マウスピース矯正の治療中](https://seimitsushinbi.jp/wp/wp-content/uploads/2023/03/IMG_9894-500x350.jpg?v=1678679673)
![[ インビザラインライト ] 14枚で行う前歯のみの短期間マウスピース矯正の治療後](https://seimitsushinbi.jp/wp/wp-content/uploads/2023/03/IMG_0013-500x350.jpg?v=1678679715)