症例詳細
Case detail
割れた被せ物を作りなおしたい
治療症例の内容
- 診療科目
- 治療カテゴリ
- 担当医
- 岡田康成(ドクタープロフィール)
- 患者様
- 30代女性
- 治療期間
- 1ヶ月
- 治療回数
- 2-5回
- 治療計画
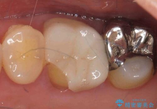
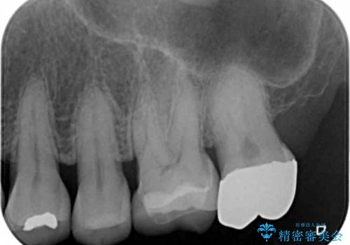
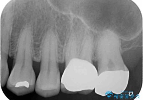
- 他院で装着した被せ物が割れたとのことで来院されました。
被せ物の厚みが確保されていなかったため、向かいの歯とのスペースを確保するように修正していきます。
- 費用(概算)
- 左上6/仮歯+ジルコニアクラウン:11,000円+110,000円費用は治療当時の料金となります
治療について
被せ物の厚みが十分に確保できていないと、材料によっては今回のように割れてしまうことがあります。
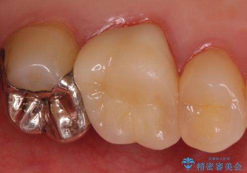
被せ物の材料を変えるか、厚みを確保することでそのリスクを抑えることができます。
今回はセラミックでの再治療をご希望されたため被せ物の厚みを確保することで対応しました。
セラミック治療の注意事項(リスク・副作用など)
- 天然歯を削ります
- 硬い素材は天然歯を傷つけてしまう場合があります
- かみ合わせや歯ぎしりが強すぎる方はセラミックが割れてしまう可能性があります
- 自費診療(保険適用外治療)となります
当サイトの内容、テキスト、画像等の無断転載、複製、複写、盗用を固く禁じます。









