症例詳細
Case detail
でこぼこの歯 / 上下の歯の真ん中を揃える
治療症例の内容
- 診療科目
- 治療カテゴリ
- 担当医
- 患者様
- 20代女性
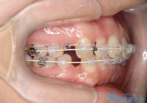
- 矯正装置
- 審美装置
- 治療期間
- 9ヶ月
- 治療計画
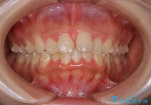
- 歯のがたつきを主訴に来院。
初診時、下顎大臼歯は他院にて治療中の状態であった。
他院にて仮歯を入れ終わった後、当院で矯正治療へ。
上下の歯のサイズバランスを取るため、および上下の歯の正中を揃えるために、上下前歯部に歯のサイズダウンを行うことにした。
- 費用(概算)
- 800,000円費用は治療当時の料金となります
治療について
奥歯の咬み合わせの状態の良い、軽度叢生であったため、治療も短期間で終わらせることができました。
ワイヤー矯正の注意事項(リスク・副作用など)
- 治療中は違和感や痛みが起こることがあります
- 症状により、抜歯が必要な場合があります
- 治療中は歯磨きがしにくくなるため、虫歯や歯周病になりやすくなります
- 矯正治療後の保定が不十分だと後戻り(元の位置に戻ろうとする動き)をします
- 自費診療(保険適用外)となります
当サイトの内容、テキスト、画像等の無断転載、複製、複写、盗用を固く禁じます。















