症例詳細
Case detail
骨の造成を行った上顎インプラント治療
治療症例の内容
- 担当医
- 大元洋佑(ドクタープロフィール)
- 患者様
- 40代男性
- 治療期間
- 2年
- 治療回数
- 5-10回
- 治療計画
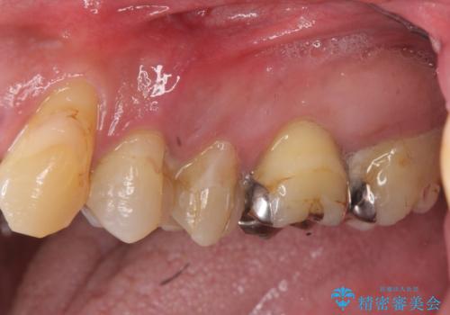
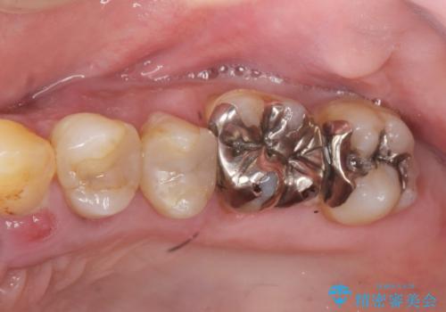
- 「全体的に歯が揺れ、今後の歯の健康に不安がある。歯周病の治療を受けたい。」、と来院されました。
精密検査の結果、重度の歯周病が認められ大きな骨の吸収を認めました。
予後の悪く保存の難しい歯を抜去し、骨の造成を含んだインプラント治療を計画します。
- 費用(概算)
- 約130万円費用は治療当時の料金となります
治療について
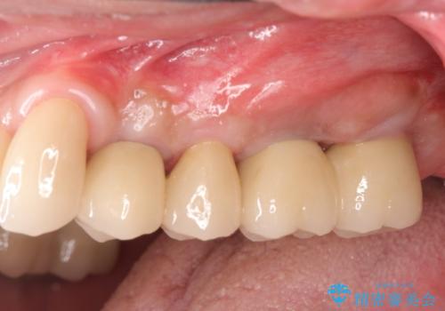
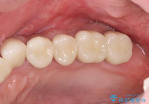
骨の造成を行ったことで歯肉のラインは平らになり、清掃性の高い歯周環境を作り出すことができました。
インプラント治療の注意事項(リスク・副作用など)
- 外科手術のため、術後に痛みや腫れ、違和感を伴います
- メンテナンスを怠ったり喫煙により、お口の中に大きな悪影響を及ぼすインプラント周囲炎等にかかる可能性があります
- 糖尿病、肝硬変、心臓病等の場合、インプラント治療ができない可能性があります
- 高血圧、貧血・不整脈等の場合、インプラント治療後に治癒不全を招く可能性があります
- 自費診療(保険適用外治療)となります
当サイトの内容、テキスト、画像等の無断転載、複製、複写、盗用を固く禁じます。




















