症例詳細
Case detail
前歯に目立たないノンクラスプデンチャーを作りたい
治療症例の内容
- 担当医
- 大元洋佑(ドクタープロフィール)
- 患者様
- 20代男性
- 治療期間
- 1ヶ月
- 治療回数
- 2-5回
- 治療計画
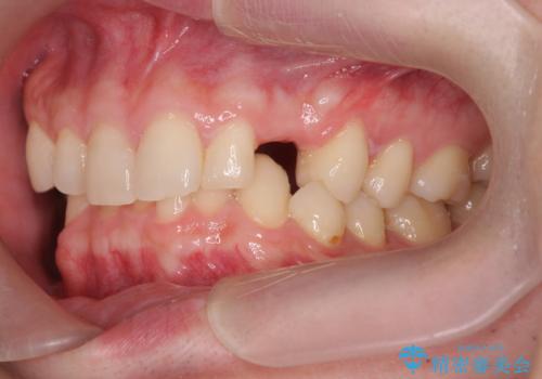
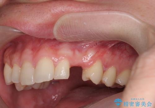
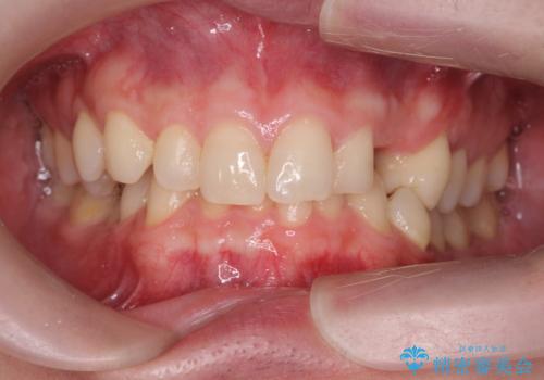
- 目立つ前歯の欠損の状況を改善されたい、と希望され来院されました。
歯を削らず、インプラント治療でもない方法を希望されたのでバネの目立たないノンクラスプデンチャーを製作します。
- 費用(概算)
- 15万円費用は治療当時の料金となります
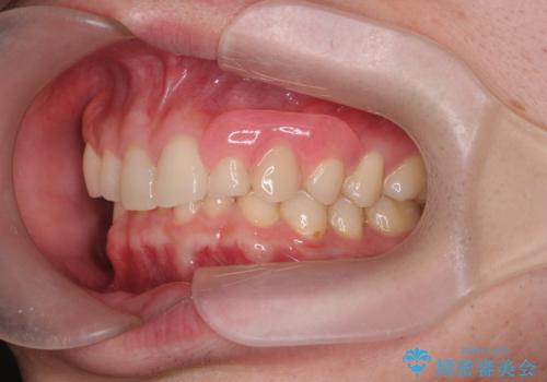
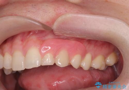
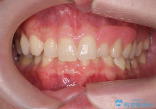
治療について
型取りと装着の2回で治療を終了することができました。
入れ歯の注意事項(リスク・副作用など)
- ブリッジやインプラントと比較して、色が合いづらい、見た目の違和感があります
- ブリッジやインプラントと比較して、話しにくい、舌が当たる等の違和感があります
- 慣れるまで微調整で何度か通って頂くことがあります
- 就寝時や食後に毎回取り外して、清掃する必要があります
- 自費診療(保険適用外)となります
当サイトの内容、テキスト、画像等の無断転載、複製、複写、盗用を固く禁じます。








