症例詳細
Case detail
定期検診で虫歯発見。セラミック治療
治療症例の内容
- 診療科目
- 治療カテゴリ
- 担当医
- 菊地俊介(ドクタープロフィール)
- 患者様
- 30代女性
- 治療期間
- 1ヶ月
- 治療回数
- 2-5回
- 治療計画
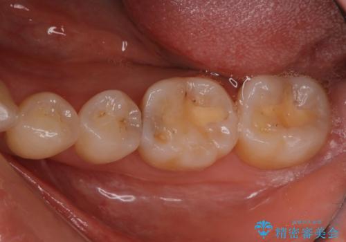
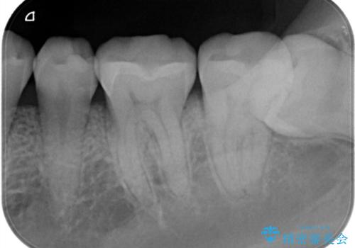
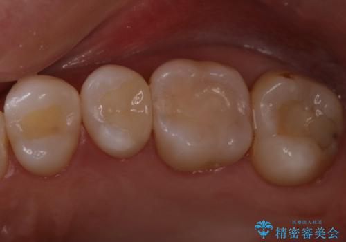
- 定期検診に通われている患者様で虫歯を発見し患者様に話をしたら、治療を進めていきたいとのことだったので治療を行いました。
- 費用(概算)
- 77,000円費用は治療当時の料金となります
治療について
まずは虫歯をしっかりと取る事が大切です。
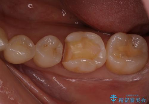
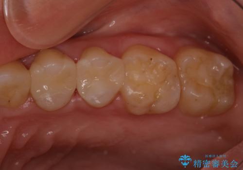
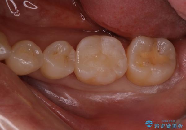
虫歯をとった後は、削った形に型を取る事で隙間なく歯にあった被せ物ができてきます。
セラミック治療の注意事項(リスク・副作用など)
- 天然歯を削ります
- 硬い素材は天然歯を傷つけてしまう場合があります
- かみ合わせや歯ぎしりが強すぎる方はセラミックが割れてしまう可能性があります
- 自費診療(保険適用外治療)となります
当サイトの内容、テキスト、画像等の無断転載、複製、複写、盗用を固く禁じます。





