症例詳細
Case detail
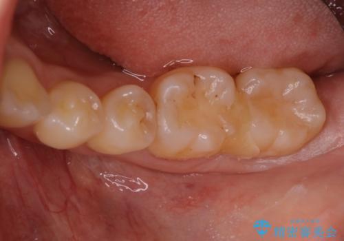
他院で虫歯と言われた。
治療症例の内容
- 診療科目
- 治療カテゴリ
- 担当医
- 菊地俊介(ドクタープロフィール)
- 患者様
- 20代女性
- 治療期間
- 1ヶ月
- 治療回数
- 2-5回
- 治療計画
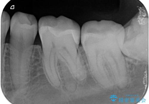
- 他院で虫歯と言われたが、銀歯は患者様自身嫌だということでインターネットで当院のサイトを見ていただき来院されました。
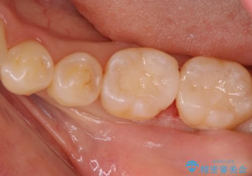
カウンセリングを進めていったところ、やはり銀歯は嫌だという話になりセラミックでの治療になりました。
- 費用(概算)
- 154,000円費用は治療当時の料金となります
治療について
銀歯の治療も悪いわけではありませんが、残念なことに再治療になることがよくあります。
再治療しないためにも、いい型取りの材料を使用し歯の形に適した被せ物にすることをお勧めいたします。
セラミック治療の注意事項(リスク・副作用など)
- 天然歯を削ります
- 硬い素材は天然歯を傷つけてしまう場合があります
- かみ合わせや歯ぎしりが強すぎる方はセラミックが割れてしまう可能性があります
- 自費診療(保険適用外治療)となります
当サイトの内容、テキスト、画像等の無断転載、複製、複写、盗用を固く禁じます。





