症例詳細
Case detail
メタルフリーにしたい。
治療症例の内容
- 診療科目
- 治療カテゴリ
- 担当医
- 菊地俊介(ドクタープロフィール)
- 患者様
- 20代女性
- 治療期間
- 1ヶ月
- 治療回数
- 2-5回
- 治療計画
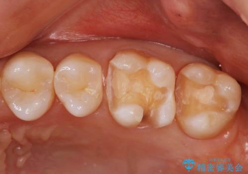
- 矯正しモチベーションが高くこの際メタルフリーにしたいという主訴で来られた患者様です。
検査してみたところ、後ろの歯も虫歯があったので治療させていただくことになりました。
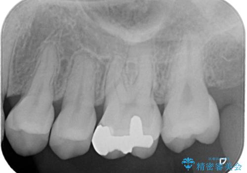
左上奥歯2本治療することになりました。
e-max インレー 1本 77000円(税込)
- 費用(概算)
- 154,000円費用は治療当時の料金となります
治療について
虫歯は小さい段階で見つけることが大切です。
早ければ早いほどいいですし、しっかりと型を取って治療することが今後のその歯を再治療しない為のポイントになってきます。
セラミック治療の注意事項(リスク・副作用など)
- 天然歯を削ります
- 硬い素材は天然歯を傷つけてしまう場合があります
- かみ合わせや歯ぎしりが強すぎる方はセラミックが割れてしまう可能性があります
- 自費診療(保険適用外治療)となります
当サイトの内容、テキスト、画像等の無断転載、複製、複写、盗用を固く禁じます。





