症例詳細
Case detail
【セラミックインレー】被せ物が欠けた
治療症例の内容
- 診療科目
- 治療カテゴリ
- 担当医
- 河野豊嘉(ドクタープロフィール)
- 患者様
- 50代男性
- 治療期間
- 1ヶ月
- 治療回数
- 2-5回
- 治療計画
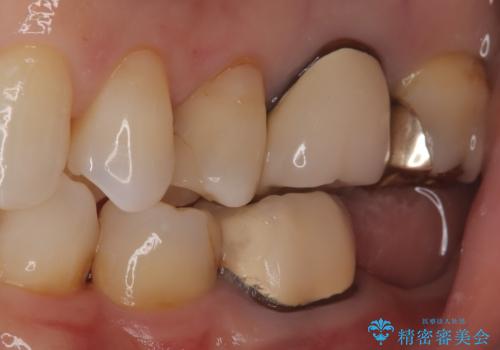
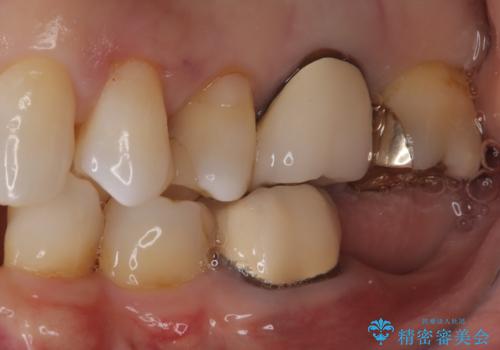
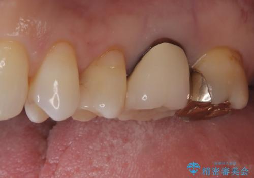
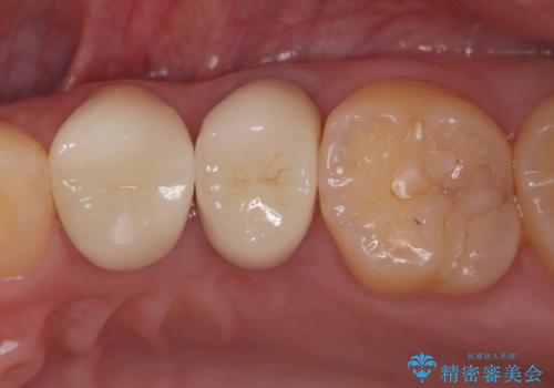
- 奥歯の被せ物が欠けたを主訴に来院された患者様です。欠けてしまった被せ物を除去後セラミックインレーで治療を行いました。
- 費用(概算)
- 77.000円費用は治療当時の料金となります
治療について
欠けた範囲が大きく被せ物を外して後、セラミックインレーで治療を行いました。欠けたままの状態を放置しているとそこに食べ物が詰まり虫歯になってしまうので早めの治療が必要です。
セラミック治療の注意事項(リスク・副作用など)
- 天然歯を削ります
- 硬い素材は天然歯を傷つけてしまう場合があります
- かみ合わせや歯ぎしりが強すぎる方はセラミックが割れてしまう可能性があります
- 自費診療(保険適用外治療)となります
当サイトの内容、テキスト、画像等の無断転載、複製、複写、盗用を固く禁じます。











