症例詳細
Case detail
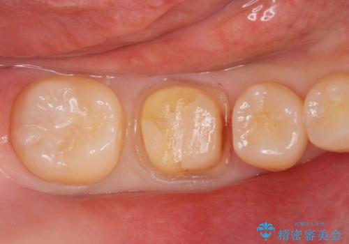
食べ物食べたら歯が欠けた。
治療症例の内容
- 診療科目
- 治療カテゴリ
- 担当医
- 青山卓弘(ドクタープロフィール)
- 患者様
- 20代男性
- 治療期間
- 1ヶ月
- 治療回数
- 2-5回
- 治療計画
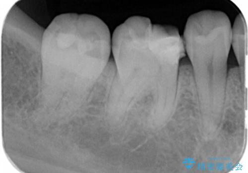
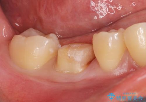
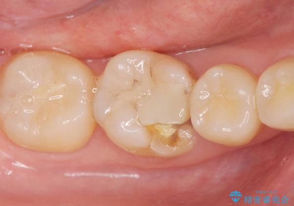
- 過去に退院で治療した詰め物が欠けたことにより来院。
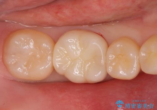
古いプラスチックの樹脂、虫歯を全て取り除き
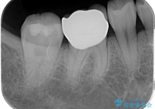
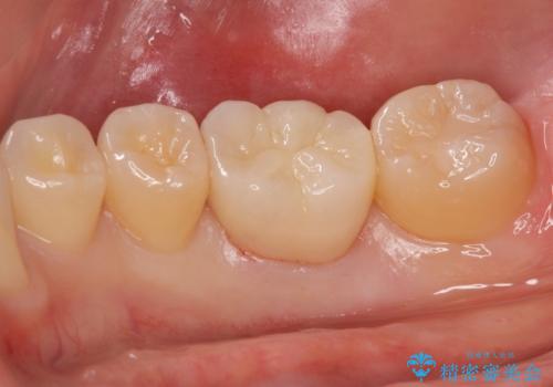
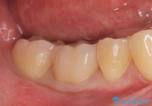
ジルコニアクラウンにて治療しました。
- 費用(概算)
- ジルコニアクラウン・仮歯 12.1万円費用は治療当時の料金となります
治療について
プラスチックの樹脂(CR)の治療は保険適応で白くて一日で
治療が終わるため安価であり、患者様の負担が少ない治療ですが
プラスチック樹脂は経年劣化して茶色くなります。
また耐久性もジルコニアクラウンに比べて低く、割れてしまうことがあります。
セラミック治療の注意事項(リスク・副作用など)
- 天然歯を削ります
- 硬い素材は天然歯を傷つけてしまう場合があります
- かみ合わせや歯ぎしりが強すぎる方はセラミックが割れてしまう可能性があります
- 自費診療(保険適用外治療)となります
その他の注意事項(リスク・副作用など)
- 担当歯科医師、歯科衛生士又は医院スタッフから受けた説明・注意事項をよくご確認ください
- 医療を提供するに当たり、適切な説明を行い、患者様の十分な理解を得るよう努めております
当サイトの内容、テキスト、画像等の無断転載、複製、複写、盗用を固く禁じます。









