症例詳細
Case detail
奥歯が痛い インプラントによる奥歯の治療
治療症例の内容
- 治療カテゴリ
- 担当医
- 藤巻太一朗(ドクタープロフィール)
- 患者様
- 30代女性
- 治療期間
- 1年3ヶ月
- 治療回数
- 5-10回
- 治療計画
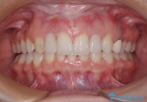
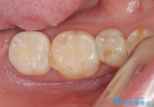
- 右の上下奥歯が痛いことを主訴に来院された患者様です。
抜歯をしなければならない歯は抜歯しますが、極力歯を保存する治療を行っていくこととしました。
- 費用(概算)
- 治療費の目安: 200万円費用は治療当時の料金となります
治療を終えて
極力歯を保存する前提で治療を進めて行きましたが、歯の破折や治療途中のアクシデントと思われる大きな穴などがあり、ほとんどの歯を抜歯することになってしまいました。
咬む力が非常に強く、治療途中に仮歯が何度も脱落したので、補綴(メタルセラミッククラウン)はスクリューによる固定としました。
スクリュー固定としてことで、インプラント周りの歯肉に炎症はほとんど認められず、また咬み合わせも非常に安定したので、患者様には大変満足していただけました。
リスクについて
外科処置は術後に痛みを伴います。
セラミックは破折などにより修復や再製作が必要となることがあります。
インプラント治療の注意事項(リスク・副作用など)
- 外科手術のため、術後に痛みや腫れ、違和感を伴います
- メンテナンスを怠ったり喫煙により、お口の中に大きな悪影響を及ぼすインプラント周囲炎等にかかる可能性があります
- 糖尿病、肝硬変、心臓病等の場合、インプラント治療ができない可能性があります
- 高血圧、貧血・不整脈等の場合、インプラント治療後に治癒不全を招く可能性があります
- 自費診療(保険適用外治療)となります
当サイトの内容、テキスト、画像等の無断転載、複製、複写、盗用を固く禁じます。












