症例詳細
Case detail
樹脂で継ぎ接ぎになった歯 セラミッククラウンでの治療
治療症例の内容
- 診療科目
- 治療カテゴリ
- 担当医
- 岡田康成(ドクタープロフィール)
- 患者様
- 40代女性
- 治療期間
- 1ヶ月
- 治療回数
- 2-5回
- 治療計画
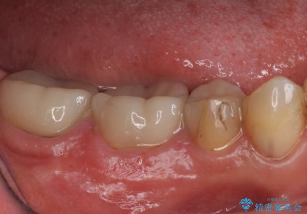
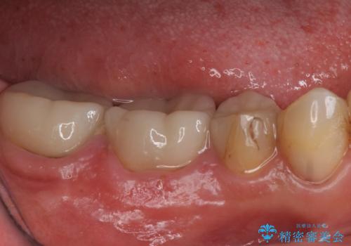
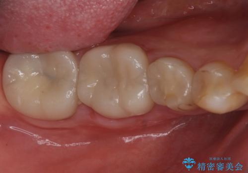
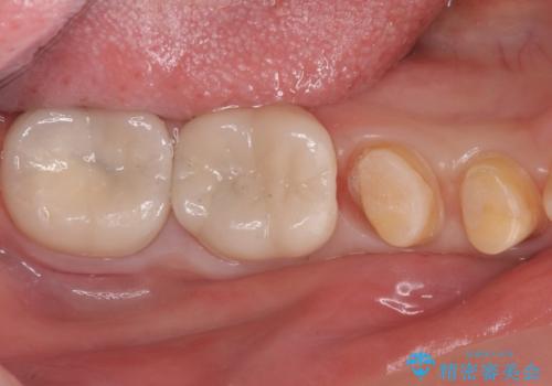
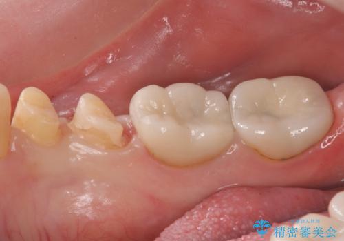
- 樹脂の材料の着色が気になるとのことで来院されました。
 継ぎ接ぎになっている部分が多かったためクラウンでの治療となりました。
- 費用(概算)
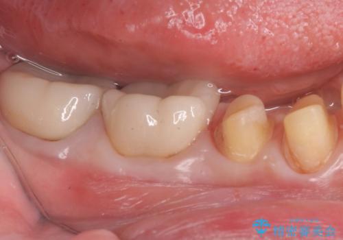
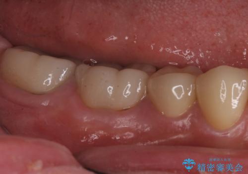
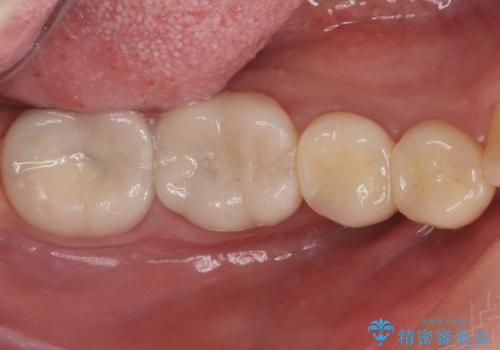
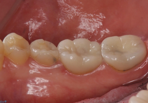
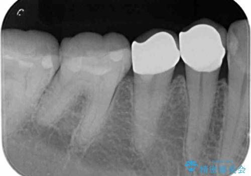
- 右下45:仮歯+ジルコニアクラウン/11,000円+110,000円費用は治療当時の料金となります
治療について
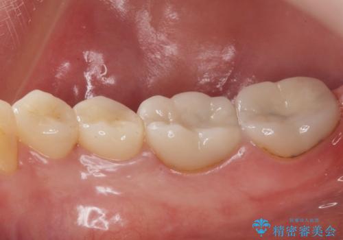
樹脂の材料と歯の境界部分は虫歯・着色の好発部位となります。
度重なる治療で継ぎ接ぎになってしまった場合はクラウンで歯を覆った方が虫歯・着色のリスクを減らすことができます。
セラミック治療の注意事項(リスク・副作用など)
- 天然歯を削ります
- 硬い素材は天然歯を傷つけてしまう場合があります
- かみ合わせや歯ぎしりが強すぎる方はセラミックが割れてしまう可能性があります
- 自費診療(保険適用外治療)となります
当サイトの内容、テキスト、画像等の無断転載、複製、複写、盗用を固く禁じます。








 
                       
                                                          










 
                   
                   
                  