症例詳細
Case detail
[ インビザラインライト ] 軽度なガタつきの改善
治療症例の内容
- 診療科目
- 治療カテゴリ
- 担当医
- 大元洋佑(ドクタープロフィール)
- 患者様
- 10代女性
- 矯正装置
- インビザライン
- 治療期間
- 8ヶ月
- 治療回数
- 2-5回
- 治療計画
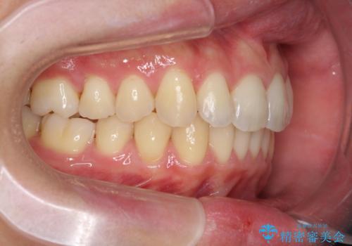
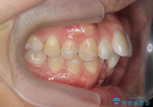
- 海外への留学前に短期間で、前歯のガタつきを改善したいと矯正治療を希望され来院されました。
14枚以内のマウスピースで歯並びを改善するインビザラインライトプランで費用を抑えつつ短期間での歯並びの改善を計画します。
- 費用(概算)
- 49.5万円(インビザライン ライトプラン)費用は治療当時の料金となります
治療について
期限のある中での治療でしたがしっかりとガタつきを改善しきれいな歯並びになることができました。
マウスピース矯正の注意事項(リスク・副作用など)
- 口腔内・歯並びの状態によっては対応できない場合があります
- マウスピース型矯正装置の長時間装着(1日20時間以上)が必須です
- 治療計画通りに進めるためには、患者様の意志が重要になります
- 矯正治療後の保定が不十分だと後戻り(元の位置に戻ろうとする動き)をします
- 薬機法対象外の矯正歯科装置のため医薬品副作用被害救済制度の対象外となる場合があります
- 自費診療(保険適用外)となります
当サイトの内容、テキスト、画像等の無断転載、複製、複写、盗用を固く禁じます。

![[ インビザラインライト ] 軽度なガタつきの改善の治療前](https://seimitsushinbi.jp/wp/wp-content/uploads/2023/01/IMG_1822-500x350.jpg?v=1672821041)
![[ インビザラインライト ] 軽度なガタつきの改善の治療中](https://seimitsushinbi.jp/wp/wp-content/uploads/2023/01/IMG_9976-500x350.jpg?v=1672821218)
![[ インビザラインライト ] 軽度なガタつきの改善の治療後](https://seimitsushinbi.jp/wp/wp-content/uploads/2023/01/bb5a31c22189e5ee0e3cd884fb2b4b0b-500x350.jpg?v=1672821069)
![[ インビザラインライト ] 軽度なガタつきの改善の治療前](https://seimitsushinbi.jp/wp/wp-content/uploads/2023/01/IMG_1824-500x350.jpg?v=1672821043)
![[ インビザラインライト ] 軽度なガタつきの改善の治療中](https://seimitsushinbi.jp/wp/wp-content/uploads/2023/01/IMG_9977-500x350.jpg?v=1672821220)
![[ インビザラインライト ] 軽度なガタつきの改善の治療後](https://seimitsushinbi.jp/wp/wp-content/uploads/2023/01/10c5236d9f86ea61a9875852676cb1ac-500x350.jpg?v=1672821071)
![[ インビザラインライト ] 軽度なガタつきの改善の治療前](https://seimitsushinbi.jp/wp/wp-content/uploads/2023/01/IMG_1826-500x350.jpg?v=1672821045)
![[ インビザラインライト ] 軽度なガタつきの改善の治療中](https://seimitsushinbi.jp/wp/wp-content/uploads/2023/01/IMG_9978-500x350.jpg?v=1672821223)
![[ インビザラインライト ] 軽度なガタつきの改善の治療後](https://seimitsushinbi.jp/wp/wp-content/uploads/2023/01/7f0ad54a2de5eac812b95011162bdd68-500x350.jpg?v=1672821073)
![[ インビザラインライト ] 軽度なガタつきの改善の治療前](https://seimitsushinbi.jp/wp/wp-content/uploads/2023/01/IMG_1827-500x350.jpg?v=1672821048)
![[ インビザラインライト ] 軽度なガタつきの改善の治療中](https://seimitsushinbi.jp/wp/wp-content/uploads/2023/01/IMG_9979-500x350.jpg?v=1672821227)
![[ インビザラインライト ] 軽度なガタつきの改善の治療後](https://seimitsushinbi.jp/wp/wp-content/uploads/2023/01/51a2516b9cf85bc6bd67f6b783268c6e-500x350.jpg?v=1672821076)
![[ インビザラインライト ] 軽度なガタつきの改善の治療前](https://seimitsushinbi.jp/wp/wp-content/uploads/2023/01/IMG_1828-500x350.jpg?v=1672821050)
![[ インビザラインライト ] 軽度なガタつきの改善の治療中](https://seimitsushinbi.jp/wp/wp-content/uploads/2023/01/IMG_9980-500x350.jpg?v=1672821230)
![[ インビザラインライト ] 軽度なガタつきの改善の治療後](https://seimitsushinbi.jp/wp/wp-content/uploads/2023/01/a59375ee5751a73ebb9c43f9344d2cf8-500x350.jpg?v=1672821078)