症例詳細
Case detail
前歯の隙間とデコボコを改善 高校生のインビザライン治療
治療症例の内容
- 診療科目
- 治療カテゴリ
- 担当医
- 藤巻太一朗(ドクタープロフィール)
- 患者様
- 10代男性(高校生)
- 矯正装置
- インビザライン
- 治療期間
- 1年
- 治療回数
- 10-30回
- 治療計画
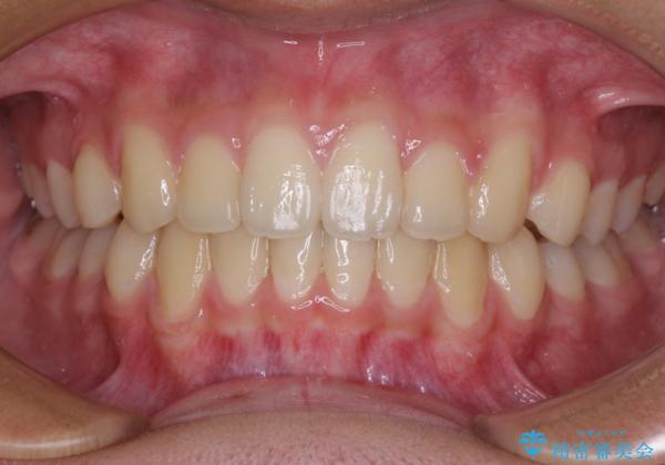
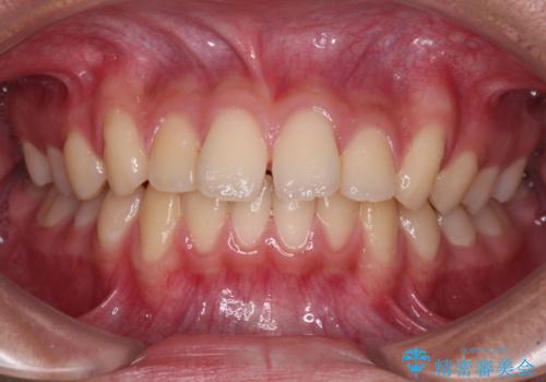
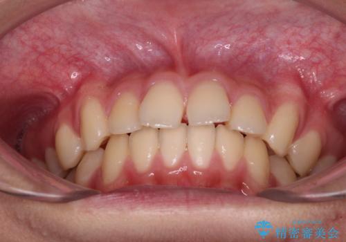
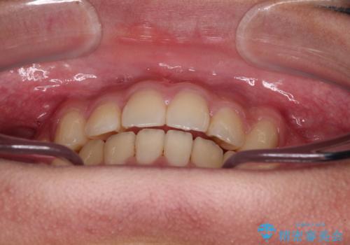
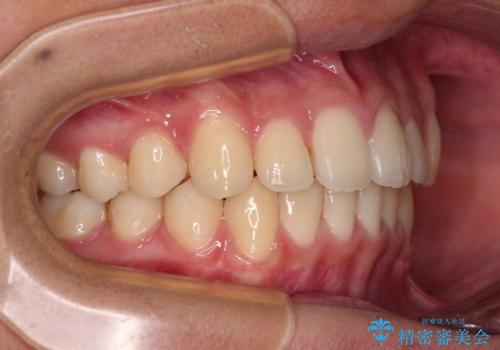
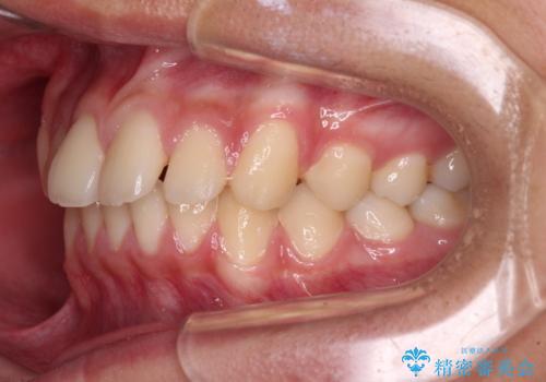
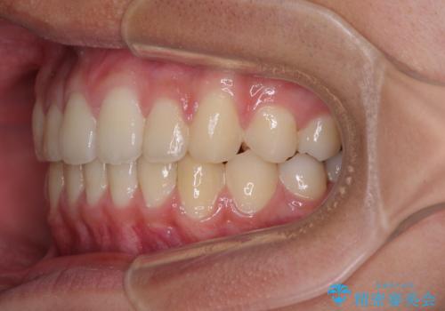
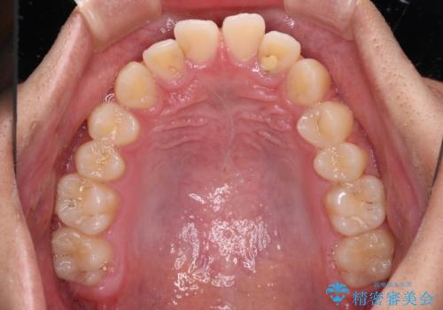
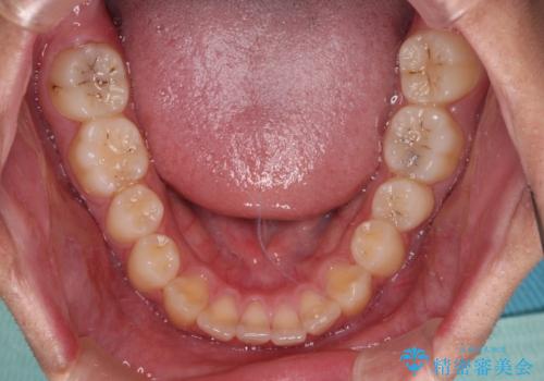
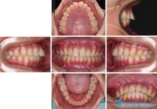
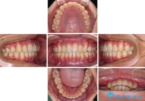
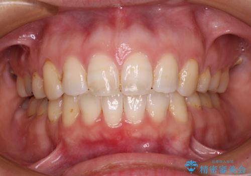
- 前歯のデコボコと隙間を気にして来院された高校生の患者様です。
 下顎前歯が上顎前歯を突き上げるような咬み合わせとなっており、その影響で上顎正中に隙間ができている状態でした。
 叢生の程度は軽度であり、本人もしっかりと使用する自信があるとのことだったので、インビザラインによる矯正治療を行うこととしました。
- 費用(概算)
- 治療費の目安: 90万円(税込)費用は治療当時の料金となります
治療について
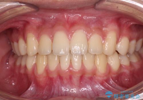
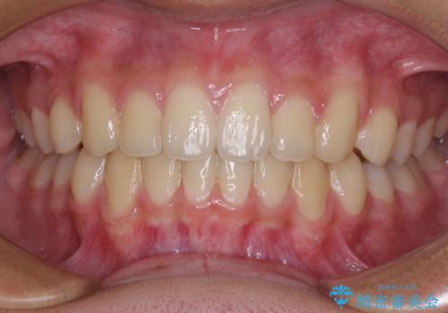
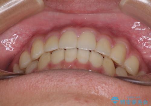
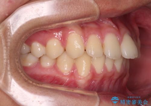
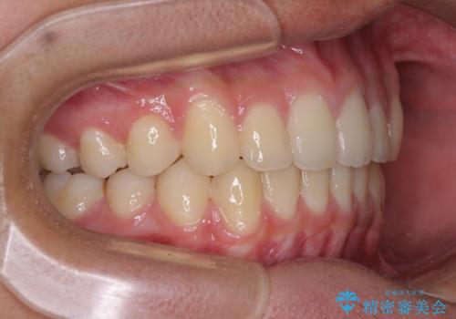
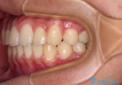
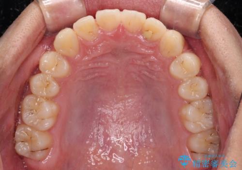
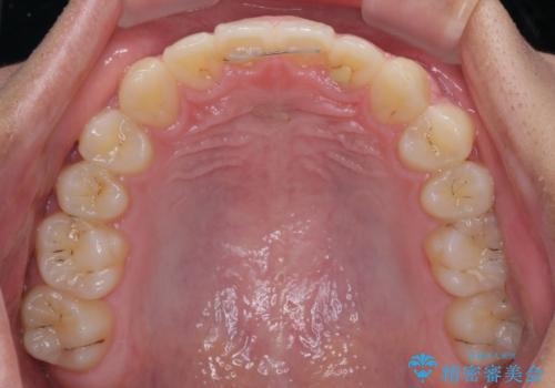
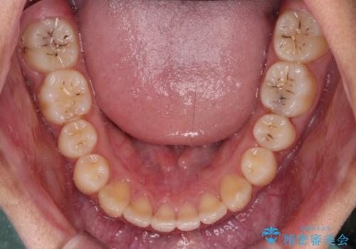
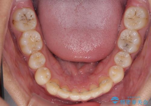
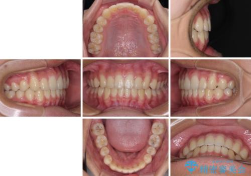
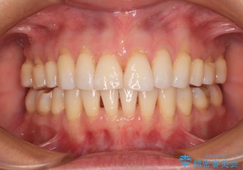
突き上げによる隙間を予防する為に、深い咬み合わせを改善するような治療計画としました。咬み合わせを改善させることはできましたが、隙間は後戻りしやすいので、通常の下顎前歯のみではなく、上顎前歯2本もワイヤーで保定を行いました。
高校生ということで、非常に短期間で治療を終えることができました。
マウスピース矯正の注意事項(リスク・副作用など)
- 口腔内・歯並びの状態によっては対応できない場合があります
- マウスピース型矯正装置の長時間装着(1日20時間以上)が必須です
- 治療計画通りに進めるためには、患者様の意志が重要になります
- 矯正治療後の保定が不十分だと後戻り(元の位置に戻ろうとする動き)をします
- 薬機法対象外の矯正歯科装置のため医薬品副作用被害救済制度の対象外となる場合があります
- 自費診療(保険適用外)となります
当サイトの内容、テキスト、画像等の無断転載、複製、複写、盗用を固く禁じます。








 
                       
                                                          
























 
                   
                   
                  