症例詳細
Case detail
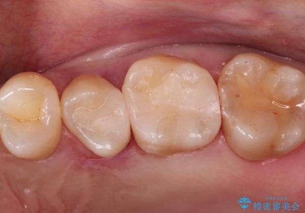
【セラミックインレー】定期検診で見つかった虫歯。
治療症例の内容
- 診療科目
- 治療カテゴリ
- 担当医
- 河口智英(ドクタープロフィール)
- 患者様
- 20代女性
- 治療期間
- 1ヶ月
- 治療回数
- 2-5回
- 治療計画
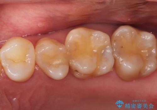
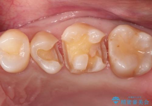
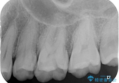
- 歯と歯の間で見つかりづらい虫歯でしたが、顕微鏡で確認し患者様に説明することで理解していただき、セラミックインレーにて修復治療を行いました。
 以前にプラスチックの材料で修復した箇所が虫歯として見つかることはよくあります。
 劣化の少ないセラミックインレーを選んでいただき、色調にも満足していただきました。
- 費用(概算)
- 14万円費用は治療当時の料金となります
治療について
当院でのセラミックインレーは必ずラバーダム防湿を行なって装着しております。
セラミック治療の注意事項(リスク・副作用など)
- 天然歯を削ります
- 硬い素材は天然歯を傷つけてしまう場合があります
- かみ合わせや歯ぎしりが強すぎる方はセラミックが割れてしまう可能性があります
- 自費診療(保険適用外治療)となります
当サイトの内容、テキスト、画像等の無断転載、複製、複写、盗用を固く禁じます。








 
                       
                                                          






 
                   
                   
                  