症例・治療例紹介
Cases
最新の症例
前歯のデコボコが気になる インビザラインによる矯正治療
担当医 藤巻太一朗


出っ歯を治したい ワイヤー装置での抜歯矯正で劇的変化!


40代男性 今からでも遅くない インビザラインで綺麗な歯列を獲得


上顎前突で口が閉じにくい ワイヤー装置での抜歯矯正


下顎前歯の欠損歯列 ワイヤー装置での矯正治療


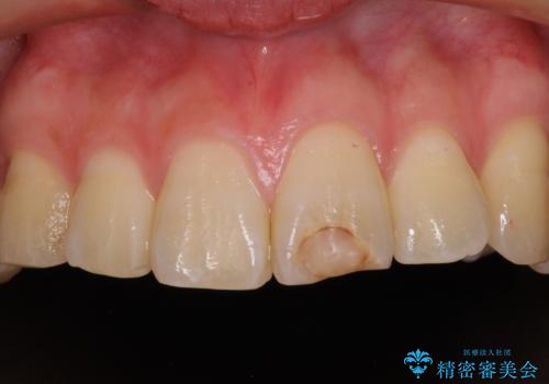
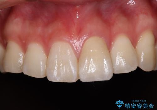
変色した前歯の詰め物 オールセラミッククラウンで本物の前歯のように


上顎前突とディープバイト ワイヤー矯正での確実に仕上げる


デコボコをワイヤー装置で改善 短期間で綺麗な仕上がりに
担当医 藤巻太一朗


八重歯と正中のズレ ワイヤー装置での抜歯矯正
担当医 藤巻太一朗


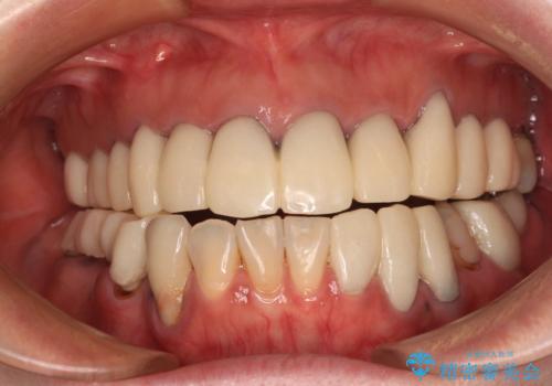
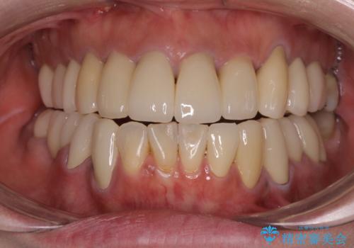
治療を開始したもののうまく噛めない 咬合改善のオールセラミック補綴治療


八重歯の抜歯矯正 インビザラインを用いて気になる歯並びを改善


叢生・ディープバイト・突出 ワイヤー装置での抜歯矯正で全てを解決


前歯の黒い縁が気になる オールセラミッククラウンで自然な口元に


クロスバイトの前歯を改善 ワイヤー装置で楽々矯正治療


擦れてしみる前歯 オールセラミッククラウンで痛みを改善


