症例・治療例紹介
Cases
最新の症例
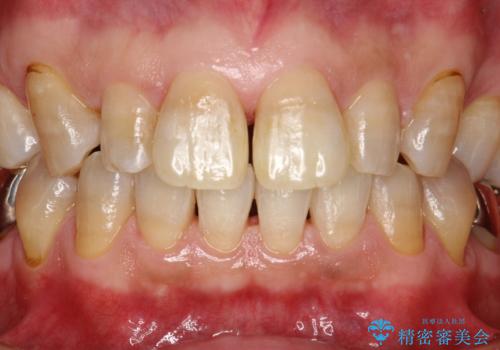
頑固な着色汚れを1日でキレイに
担当医 歯科衛生士


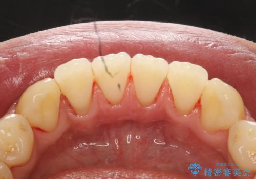
下の歯の裏側の着色
担当医 歯科衛生士


ワイヤー装置除去後のクリーニング
担当医 歯科衛生士


前歯の真ん中の隙間を閉じたい インビザラインによる目立たない矯正


オールセラミッククラウン メタルフリーのクラウンへ


オールセラミッククラウン 他院にて治療困難と言われた歯の治療


オールセラミッククラウン 折れてしまった前歯の治療


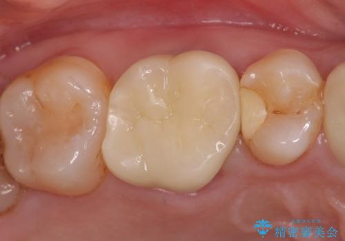
セラミックインレー 冷たいものがしみる奥歯の治療


前歯のステイン(着色)をPMTCでキレイに
担当医 歯科衛生士


1年ぶりのPMTCで着色落とし
担当医 歯科衛生士


前歯の隙間を閉じたい インビザラインによる矯正


invisalign中のPMTC
担当医 歯科衛生士


茶渋による汚れ
担当医 歯科衛生士


矯正治療開始前のPMTC
担当医 歯科衛生士


前歯とメタルタトゥー見た目が気になる 矯正・セラミックを組み合わせた治療


