症例・治療例紹介
Cases
最新の症例
矯正治療を考えている方の歯のクリーニング
担当医 歯科衛生士


今後ホワイトニング予定の方のPMTC
担当医 歯科衛生士


ノンクラスプデンチャー(バルプラスト)


前歯のがたつきをインビザラインで目立たず矯正治療


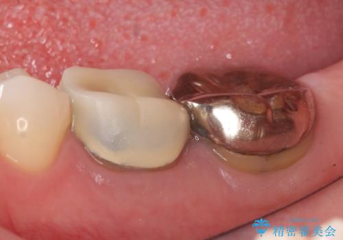
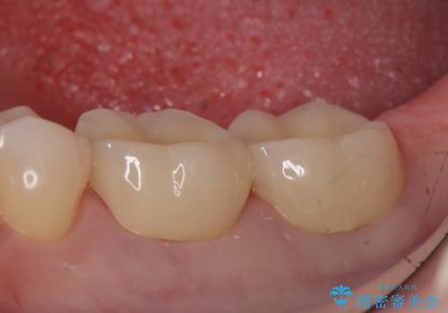
オールセラミッククラウン 咬むと痛む奥歯の治療


オールセラミッククラウン 知覚過敏の治療


オールセラミッククラウン 銀歯を白く


外れそうで不適合のかぶせ物の根管治療からの再治療


歯が折れた セラミックで綺麗に 30代女性


オールセラミッククラウン 激しく痛む歯の再根管治療


オールセラミッククラウン 抜歯になった奥歯の欠損補綴


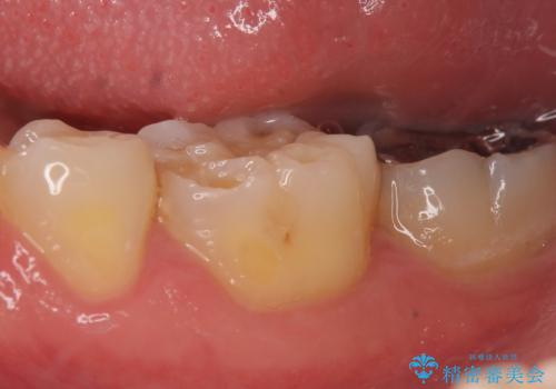
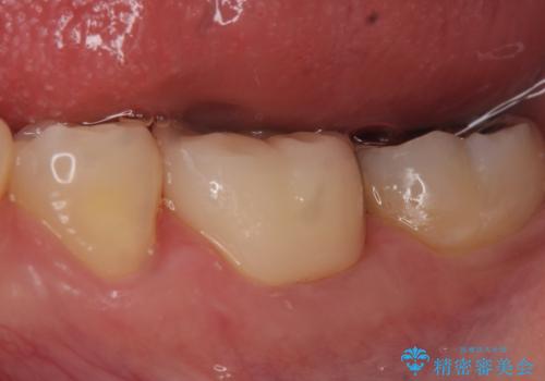
セラミックインレー 銀歯から白い歯へ


マウスピース矯正(インビザライン)中にコーヒの頑固な着色落としをPMTCで
担当医 歯科衛生士


60分のPMTCで歯の黄ばみをきれいに除去
担当医 歯科衛生士


総合歯科ならではのメリット 矯正中にもPMTCを
担当医 歯科衛生士


