症例・治療例紹介
Cases
Dr. 有澤哲郎の症例写真
2ページ目 / 5
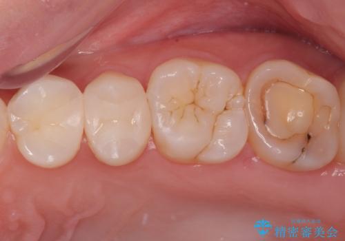
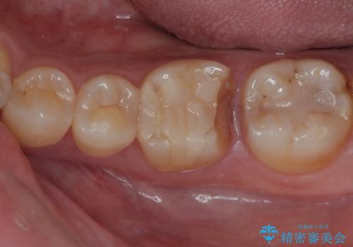
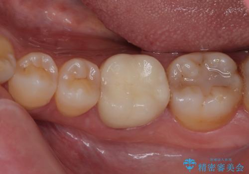
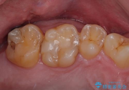
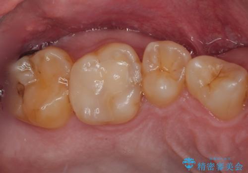
詰め物が外れかけてるのでやり替えたい セラミックインレー修復・フルジルコニアクラウン


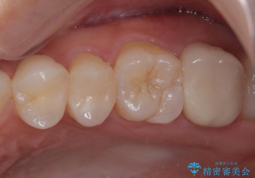
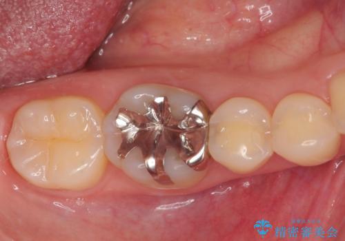
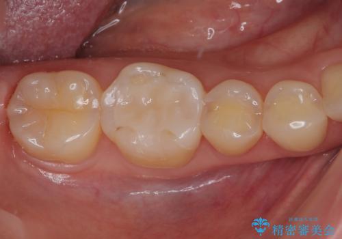
銀歯がとれたのでやり替えたい オールセラミッククラウン
担当医 有澤哲郎


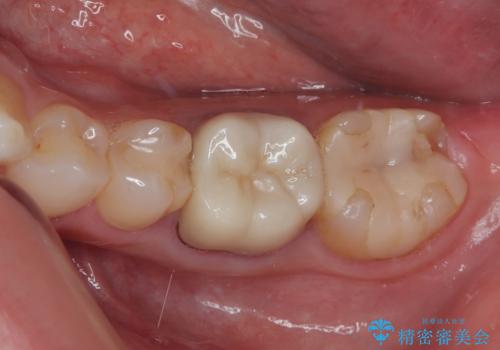
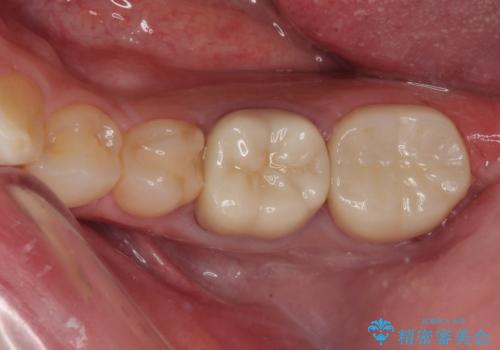
レジンが劣化してきた オールセラミッククラウン
担当医 有澤哲郎


前歯の色味を治したい オールセラミッククラウン
担当医 有澤哲郎


治療途中の虫歯の歯をインプラントにしたい インプラント治療


プラスチックの詰め物が外れた オールセラミッククラウン
担当医 有澤哲郎


詰め物が欠けた フルジルコニアクラウン


大きな虫歯ができて歯に穴が開いた オールセラミッククラウン
担当医 有澤哲郎


被せものが欠けた オールセラミッククラウン
担当医 有澤哲郎


被せものに穴が開いたのでやり替えたい オールセラミッククラウン
担当医 有澤哲郎


前歯の見た目を良くしたい オールセラミッククラウン
担当医 有澤哲郎


詰め物が割れたのでやり替えたい オールセラミッククラウン
担当医 有澤哲郎








