症例・治療例紹介
Cases
歯科衛生士の症例写真
41ページ目 / 49
タバコ・コーヒーによる歯の着色落とし
担当医 歯科衛生士


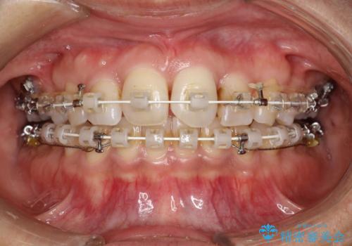
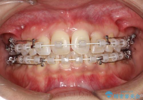
ワイヤー矯正中にステインOFF
担当医 歯科衛生士


ステイン除去 PMTC
担当医 歯科衛生士


定期的にPMTCで口元ケアを
担当医 歯科衛生士


インビザライン アタッチメント設定前のPMTC
担当医 歯科衛生士


30分のPMTCで前歯の着色落とし
担当医 歯科衛生士


3年ぶりに歯科医院でお掃除 PMTC
担当医 歯科衛生士


ワイヤー矯正中のPMTCで虫歯・歯周病・口臭予防
担当医 歯科衛生士


半年ぶりのクリーニング PMTC
担当医 歯科衛生士


頑固な着色汚れを1日でキレイに
担当医 歯科衛生士


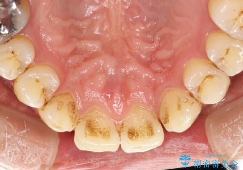
下の歯の裏側の着色
担当医 歯科衛生士


ワイヤー装置除去後のクリーニング
担当医 歯科衛生士








