症例・治療例紹介
Cases
歯科衛生士の症例写真
40ページ目 / 49
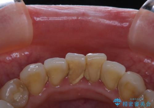
虫歯治療を始める前のPMTC
担当医 歯科衛生士


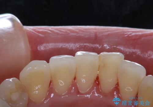
1年ぶりにPMTCで歯の着色落とし
担当医 歯科衛生士


矯正治療前の歯のクリーニング PMTC
担当医 歯科衛生士


PMTCでコーヒーの着色取り
担当医 歯科衛生士


口臭予防にPMTCでお口のケア
担当医 歯科衛生士


治療前にPMTCでステイン・黄ばみの除去
担当医 歯科衛生士


歯の着色落とし
担当医 歯科衛生士


ワイヤー矯正中のクリーニング pmtc
担当医 歯科衛生士


1年ぶりの歯科医院でクリーニング
担当医 歯科衛生士


iTero スキャニングの前(invisalignの型どり)のPMTC
担当医 歯科衛生士


磨けているようで磨けていない汚れをPMTCで徹底的に除去
担当医 歯科衛生士


定期的なPMTCでオーラルケア
担当医 歯科衛生士


数年ぶりに歯科医院にて歯のクリーニング
担当医 歯科衛生士






