症例・治療例紹介
Cases
歯科衛生士の症例写真
38ページ目 / 49
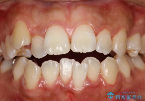
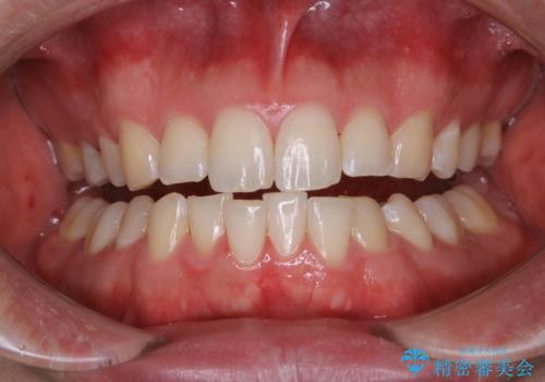
歯科矯正前のPMTC
担当医 歯科衛生士


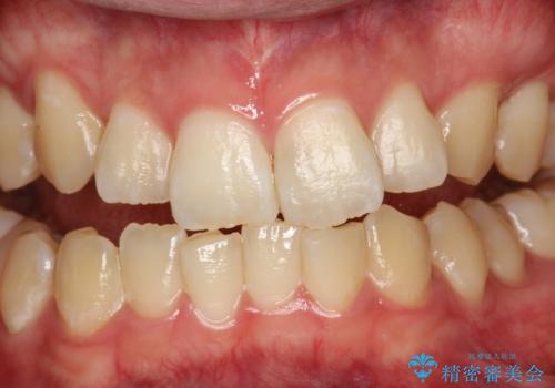
インプラントの2次OPE前にPMTC
担当医 歯科衛生士


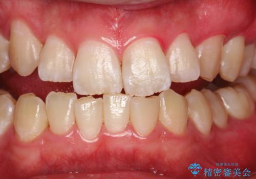
歯のお掃除 PMTC
担当医 歯科衛生士


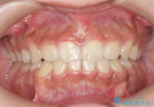
治療中にPMTCでメンテナンス
担当医 歯科衛生士


PMTCで見た目を綺麗に
担当医 歯科衛生士


PMTCで歯周病予防
担当医 歯科衛生士


定期的なメンテナンスで歯磨きチェック
担当医 歯科衛生士


治療中の仮歯もPMTCでキレイに
担当医 歯科衛生士


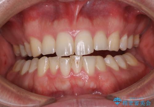
歯の着色をPMTCで、きれいにして口元爽やかに!
担当医 歯科衛生士


オフィスホワイトニング エクセレント
担当医 歯科衛生士


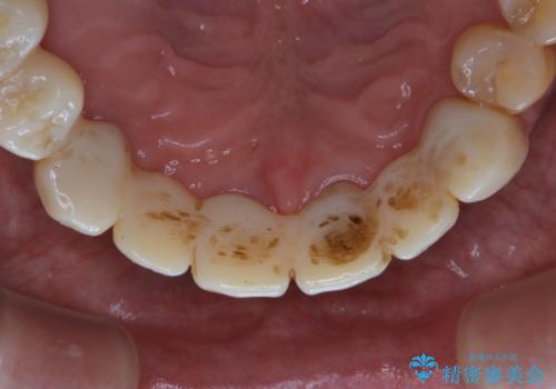
歯についたタバコのヤニをPMTCで綺麗に
担当医 歯科衛生士


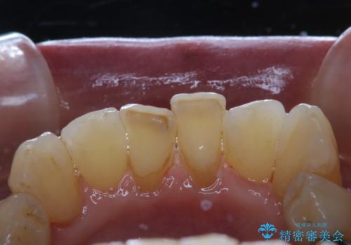
前歯の裏側の着色落としをPMTCでキレイに
担当医 歯科衛生士


歯石除去 PMTC
担当医 歯科衛生士






