症例・治療例紹介
Cases
歯科衛生士の症例写真
37ページ目 / 49
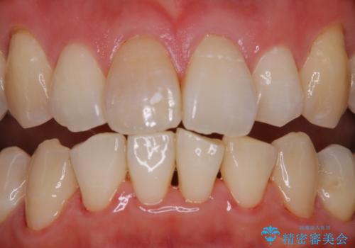
PMTCとwhitening
担当医 歯科衛生士


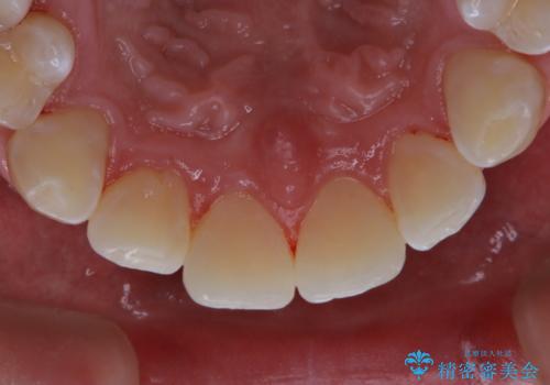
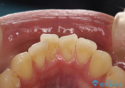
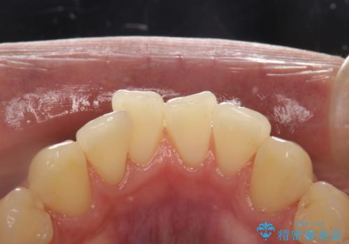
歯科矯正前のクリーニング PMTC
担当医 歯科衛生士


PMTCでオーラルケア
担当医 歯科衛生士


iTero Elementでスキャニング前にPMTC
担当医 歯科衛生士


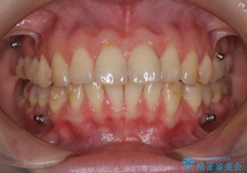
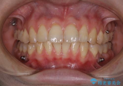
invisalign矯正治療中のPMTC クリーニング
担当医 歯科衛生士


インビザライン中に歯の着色落としクリーニング PMTC
担当医 歯科衛生士


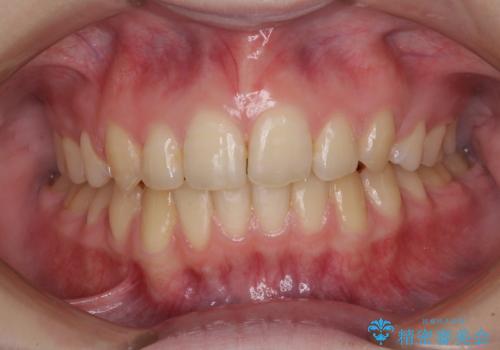
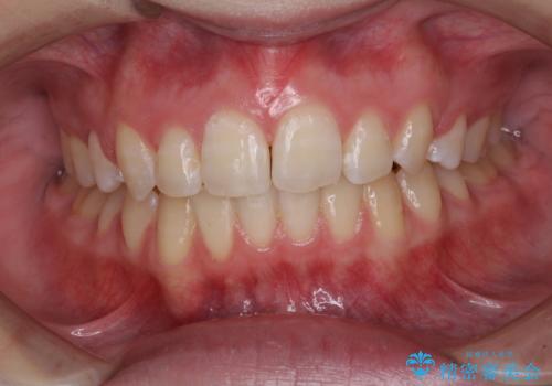
歯科矯正治療前のクリーニング PMTC
担当医 歯科衛生士


歯科医院で専門的なクリーニング PMTC
担当医 歯科衛生士


PMTCで歯石やステインOFF
担当医 歯科衛生士


コーヒーの着色落としをPMTCでキレイに
担当医 歯科衛生士


インビザライン矯正治療中のPMTC
担当医 歯科衛生士


PMTCで歯をキレイに
担当医 歯科衛生士


ワイヤー矯正中のクリーニング PMTC
担当医 歯科衛生士






