症例・治療例紹介
Cases
歯科衛生士の症例写真
36ページ目 / 49
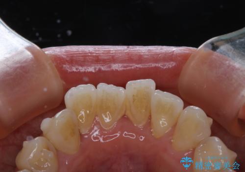
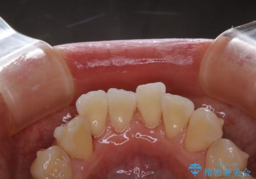
半年ぶりのPMTC
担当医 歯科衛生士


奥歯の汚れもPMTCでしっかり除去
担当医 歯科衛生士


人生で初めての歯のクリーニング PMTC
担当医 歯科衛生士


PMTCでスムーズにデンタルフロスが通るように
担当医 歯科衛生士


インプラント治療途中にPMTC
担当医 歯科衛生士


1年ぶりのPMTC
担当医 歯科衛生士


染め出しをして磨き残しのチェックと歯のクリーニング
担当医 歯科衛生士


ワインによる着色をPMTCでキレイに
担当医 歯科衛生士


口臭予防のため歯科医院での歯の掃除 PMTC
担当医 歯科衛生士


ワイヤー矯正中のPMTC
担当医 歯科衛生士


アタッチメント周囲のステインOFFをPMTC で
担当医 歯科衛生士


1年ぶりのPMTCでオーラルケア
担当医 歯科衛生士


着色・ステイン除去をPMTCで
担当医 歯科衛生士


Orthodontics中にPMTCで綺麗にクリーニング
担当医 歯科衛生士


マウスピース矯正・インビザライン中のPMTC
担当医 歯科衛生士


