症例・治療例紹介
Cases
歯科衛生士の症例写真
21ページ目 / 49
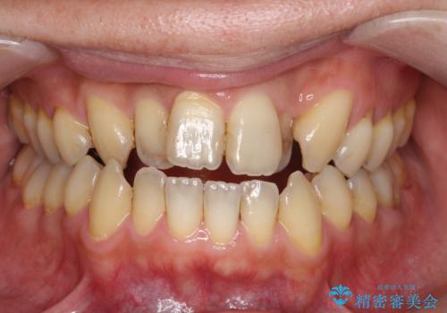
PMTCで笑った時の口元を自然に明るくしたい
担当医 歯科衛生士


invisalignの型取り前に歯のクリーニング
担当医 歯科衛生士


インビザライン中にステインを綺麗にOFF
担当医 歯科衛生士


マウスピース矯正終了後にPMTCでよりきれいな歯に
担当医 歯科衛生士


ホームホワイトニング用マウスピースを作成前にPMTC
担当医 歯科衛生士


歯と歯の間の色が気になる 1日で綺麗に落とす
担当医 歯科衛生士


インビザラインでのマウスピース矯正中にクリーニングで口臭予防
担当医 歯科衛生士


ハーフリンガルでのワイヤー矯正中にクリーニングで綺麗に
担当医 歯科衛生士


インビザライン治療中のクリーニング
担当医 歯科衛生士


マウスピース矯正の途中にPMTCで白い歯に
担当医 歯科衛生士


タバコとコーヒーによる頑固な着色落とし
担当医 歯科衛生士










