症例・治療例紹介
Cases
Dr. 奥村高広の症例写真
2ページ目 / 6
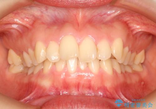
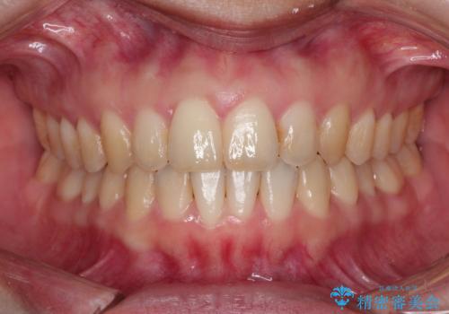
再矯正症例 前歯のガタガタと噛み合わせのズレをマウスピースで治した症例


長い間コンプレックスだった前歯のすき間! 短期間終了。部分矯正症例 (インビザライン矯正)


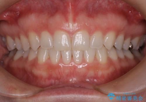
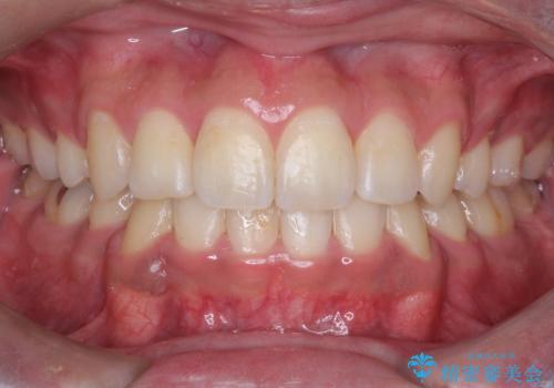
【八重歯・がたつきでお悩みの方必見】抜歯矯正症例(審美ワイヤー矯正)
担当医 奥村高広


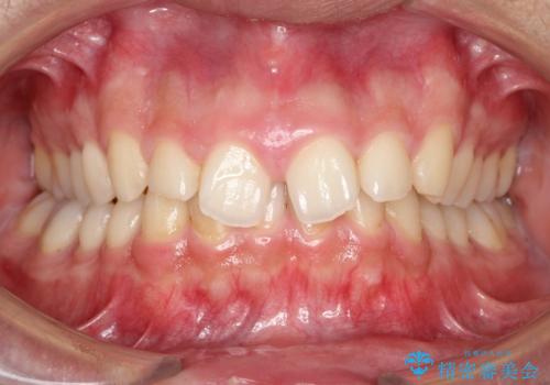
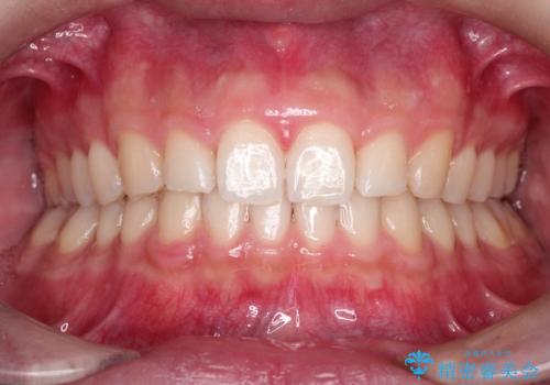
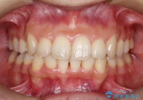
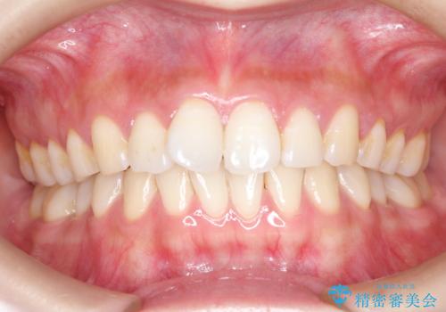
【過蓋咬合・正中離開・奥歯のズレでお悩みの方必見】非抜歯矯正症例(顎骨の成長を利用)


【八重歯・重度のがたつきでお悩みの方必見】抜歯矯正症例(審美ワイヤー矯正)


【がたつき・深い噛み合わせでお悩みの方必見】抜歯矯正症例(審美ワイヤー矯正)


【前歯のがたつきでお悩みの方必見】インビザライン矯正の症例
担当医 奥村高広


その前歯の捻じれ、原因は奥歯の噛み合わせのズレにあります。


コンプレックスだった前歯のガタガタがここまで綺麗になるなんて!!


飛び出た八重歯!コンプレックスを払拭!


【出っ歯(飛び出した前歯)・がたつきでお悩みの方必見】インビザライン矯正の症例


埋まった歯を出してくる矯正治療(牽引から萌出するまで)
担当医 奥村高広








