症例・治療例紹介
Cases
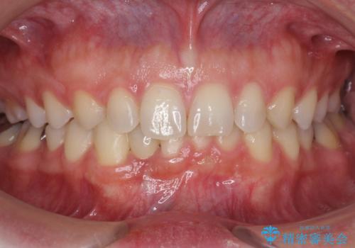
総合歯科治療 → 矯正歯科治療&セラミック治療
7ページ目 / 16
小矯正を伴う臼歯部ブリッジ治療
担当医 大元洋佑


前歯が気になる 大人のマウスピース矯正 矮小歯を整える


奥歯の虫歯 歯の間を広げてセラミックでしっかり治療


反対咬合で痛む前歯を改善 インビザラインによる矯正治療


出っ歯を治したい 過蓋咬合


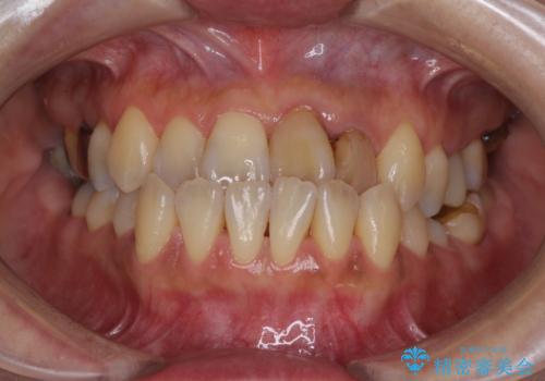
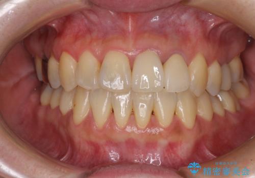
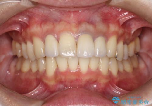
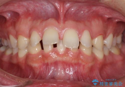
歯列不正と歯周病 総合歯科治療による全顎治療
担当医 藤巻太一朗


咬合平面を揃え、早期接触・干渉を防ぐ補綴治療


歯並びを含めて前歯をきれいにしたい インビザラインとセラミック治療


出っ歯を改善した後に真っ白な歯に 矯正歯科治療と審美歯科治療


[MTMを行い歯の神経を保存] 歯周補綴ブリッジ
![[MTMを行い歯の神経を保存] 歯周補綴ブリッジの症例 治療前](https://seimitsushinbi.jp/wp/wp-content/uploads/2021/04/21310c2f37874ac2f2ba9939da2fee68-500x350.jpg?v=1618452125)
![[MTMを行い歯の神経を保存] 歯周補綴ブリッジの症例 治療後](https://seimitsushinbi.jp/wp/wp-content/uploads/2021/04/75330aaa19199048b71f28658fe46b5b-1-500x350.jpg?v=1618452202)
矯正を含む全顎治療


矯正の後戻りと変色歯を治したい 総合歯科診療


前歯のがたつき インビザラインで


すきっ歯・出っ歯 コンプレックスの前歯を治したい 目立たない方法で セラミック治療は不可能な症例
担当医 井上季実子


すきっ歯・出っ歯が気になる インビザライン矯正 乳歯をインプラントに


セラミック治療の注意事項(リスク・副作用など)
- 天然歯を削ります
- 硬い素材は天然歯を傷つけてしまう場合があります
- かみ合わせや歯ぎしりが強すぎる方はセラミックが割れてしまう可能性があります
- 自費診療(保険適用外治療)となります
ワイヤー矯正歯科治療の注意事項(リスク・副作用など)
- 治療中は違和感や痛みが起こることがあります
- 症状により、抜歯が必要な場合があります
- 治療中は歯磨きがしにくくなるため、虫歯や歯周病になりやすくなります
- 矯正治療後の保定が不十分だと後戻り(元の位置に戻ろうとする動き)をします
- 自費診療(保険適用外)となります
マウスピース矯正の注意事項(リスク・副作用など)
- 口腔内・歯並びの状態によっては対応できない場合があります
- マウスピース型矯正装置の長時間装着が必須です
- 治療計画通りに進めるためには、患者様の意志が重要になります
- 矯正治療後の保定が不十分だと後戻り(元の位置に戻ろうとする動き)をします
- 自費診療(保険適用外)となります
