症例・治療例紹介
Cases
その他 → クリーニング(PMTC)
33ページ目 / 37
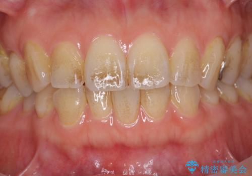
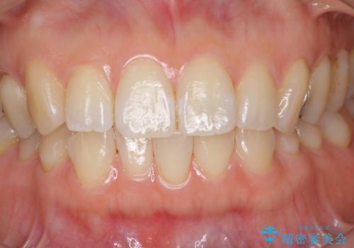
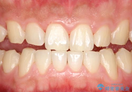
1年ぶりのPMTCで着色落とし
担当医 歯科衛生士


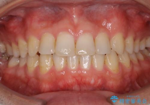
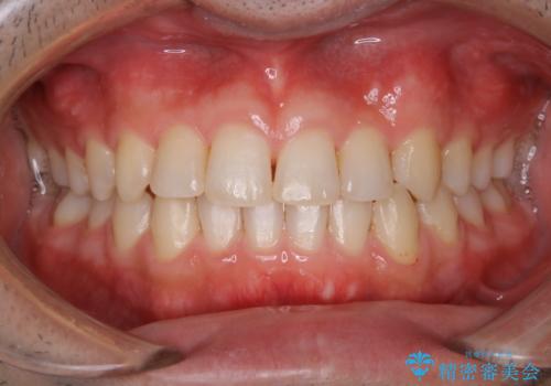
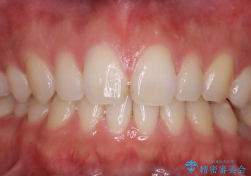
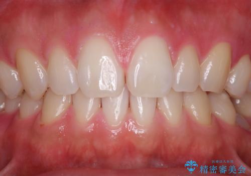
invisalign中のPMTC
担当医 歯科衛生士


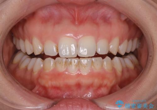
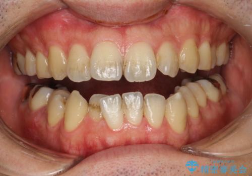
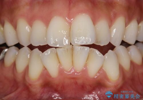
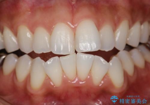
茶渋による汚れ
担当医 歯科衛生士


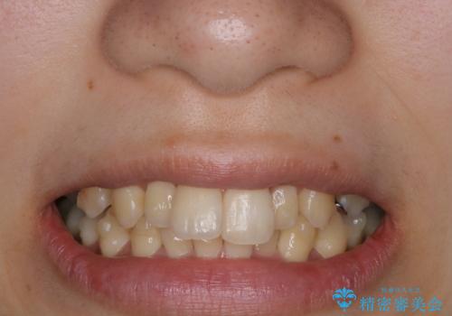
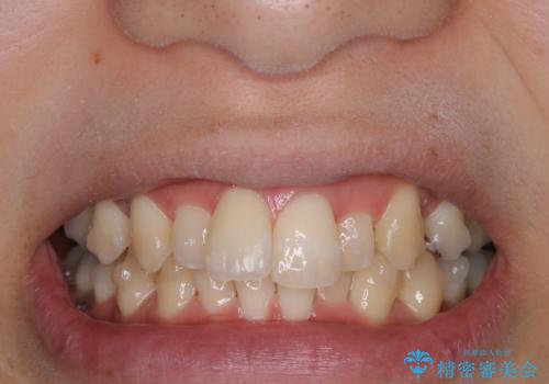
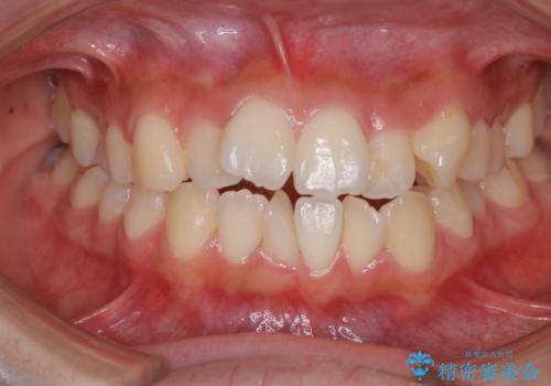
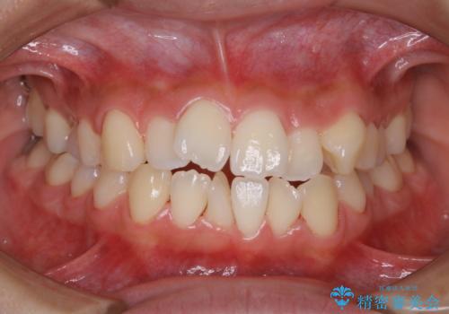
矯正治療開始前のPMTC
担当医 歯科衛生士


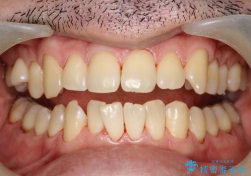
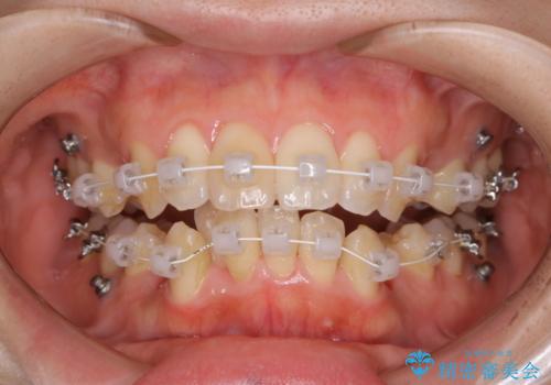
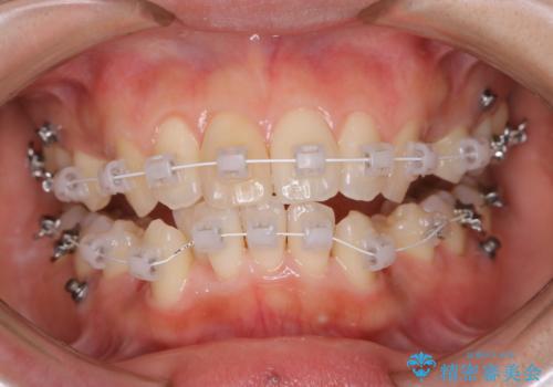
ワイヤー矯正中のクリーニング PMTC
担当医 歯科衛生士


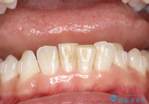
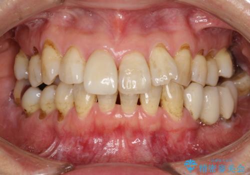
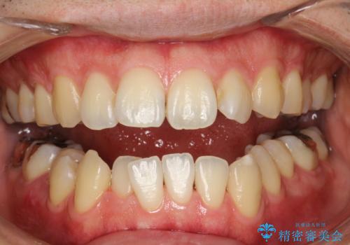
下の歯の黄ばみ
担当医 歯科衛生士


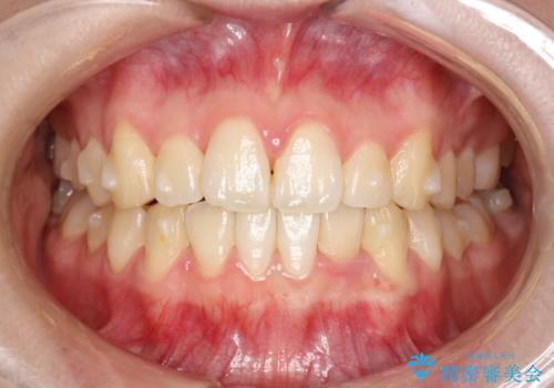
タバコ、コーヒーなどの着色を、PMTCできれいに。
担当医 歯科衛生士


ワインによる着色・黄ばみをPMTCできれいに
担当医 歯科衛生士


つきやすいステインを定期的にpmtcできれいにクリーニング
担当医 歯科衛生士


歯科衛生士によるクリーニング PMTC
担当医 歯科衛生士


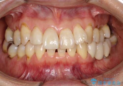
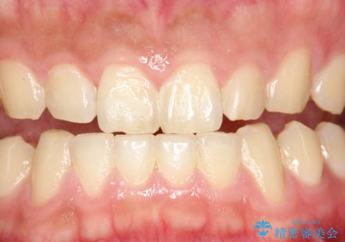
お茶により濃くついた着色落とし
担当医 歯科衛生士


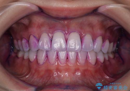
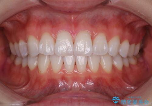
インビザライン矯正治療が終わり、アタッチメント除去と合わせて歯のクリーニング
担当医 歯科衛生士


親知らずを抜いて1週間後にPMTC 歯のクリーニング
担当医 歯科衛生士


歯科衛生士によるPMTCで着色落とし
担当医 歯科衛生士


定期的に歯科医院でクリーニング PMTC
担当医 歯科衛生士


プロフェッショナルクリーニングの注意事項(リスク・副作用など)
- 歯を白くする目的の施術ではありません
- 保険適用外となります
