症例・治療例紹介
Cases
その他 → クリーニング(PMTC)
26ページ目 / 37
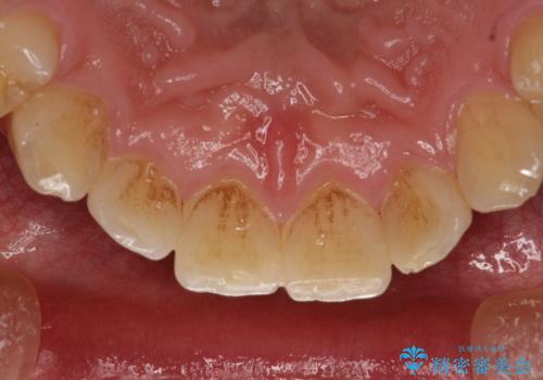
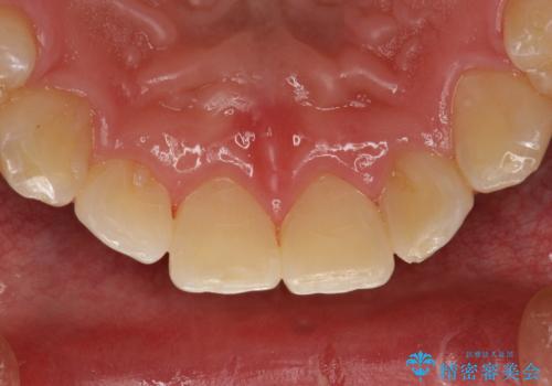
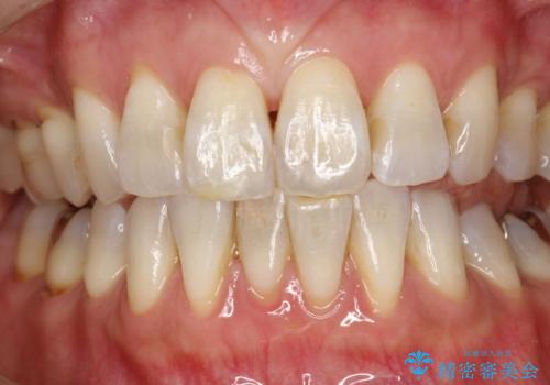
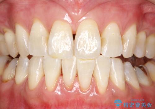
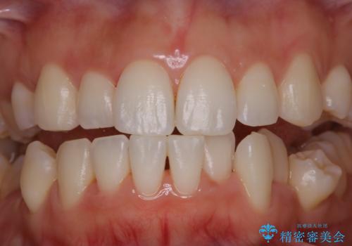
60分のPMTCで歯の黄ばみをきれいに除去
担当医 歯科衛生士


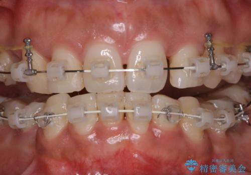
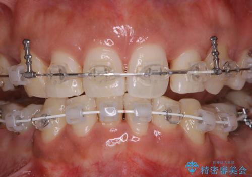
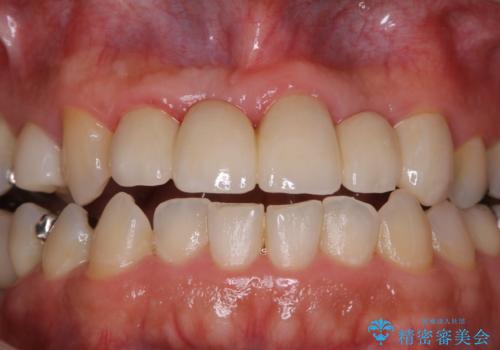
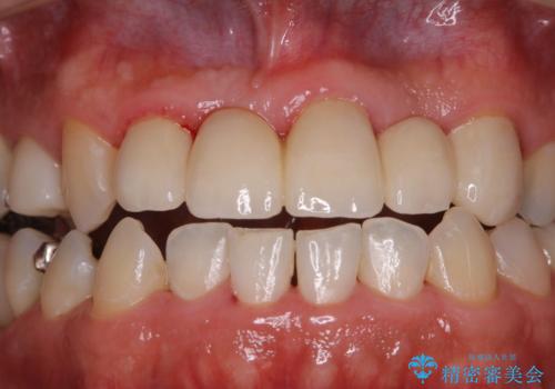
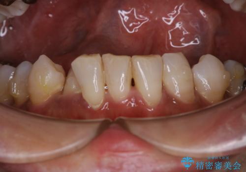
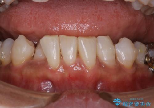
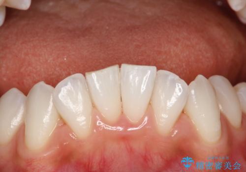
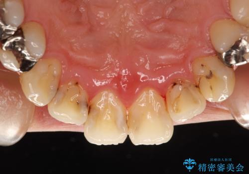
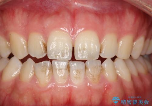
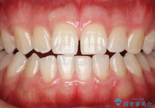
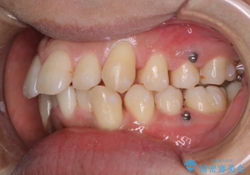
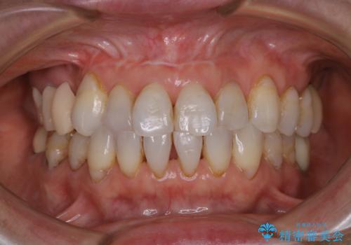
総合歯科ならではのメリット 矯正中にもPMTCを
担当医 歯科衛生士


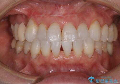
PMTCで舌ざわりをツルツルに
担当医 歯科衛生士


歯科衛生士によるPMTCでお口のケア
担当医 歯科衛生士


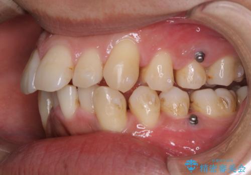
INVISALIGN治療中のPMTC
担当医 歯科衛生士


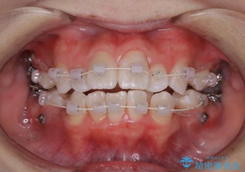
ワイヤー矯正中にPMTCでオーラルケア
担当医 歯科衛生士


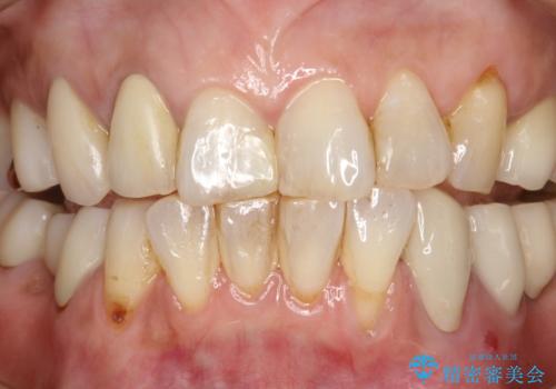
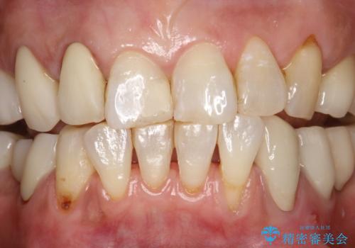
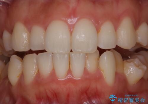
前歯の茶色をPMTCで綺麗に白く
担当医 歯科衛生士


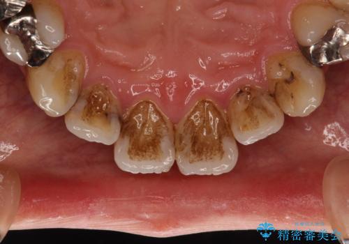
PMTC60分コースで取れるだけステイン落とし
担当医 歯科衛生士


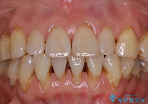
治療のスタート前に着色・ステインをPMTCできれいに除去
担当医 歯科衛生士


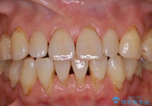
PMTCで前歯の着色・ステインを綺麗に
担当医 歯科衛生士


マウスピース矯正中にPMTC
担当医 歯科衛生士


PMTCで歯を綺麗に
担当医 歯科衛生士


PMTC(歯科医院での専門的クリーニング)でステインを除去し白くきれいな歯に!
担当医 大元洋佑


久々の来院で歯のクリーニング PMTC60分コース
担当医 歯科衛生士


歯のクリーニングPMTC60分コース
担当医 歯科衛生士


プロフェッショナルクリーニングの注意事項(リスク・副作用など)
- 歯を白くする目的の施術ではありません
- 保険適用外となります
