症例・治療例紹介
Cases
その他 → クリーニング(PMTC)
25ページ目 / 37
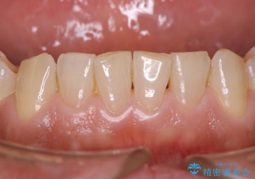
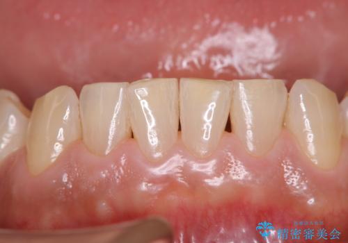
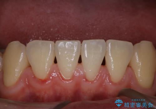
定期健診で歯のクリーニング
担当医 歯科衛生士


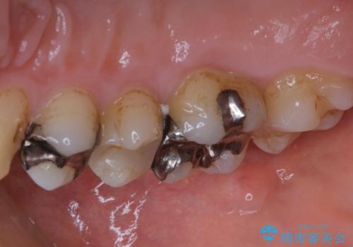
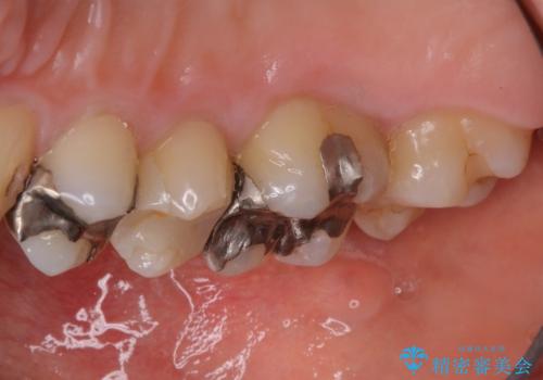
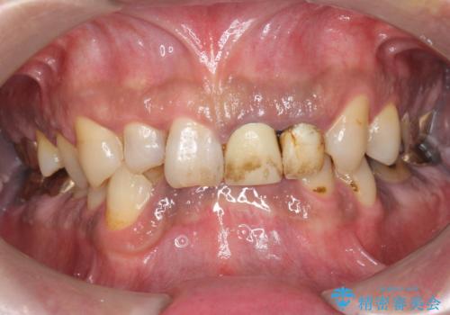
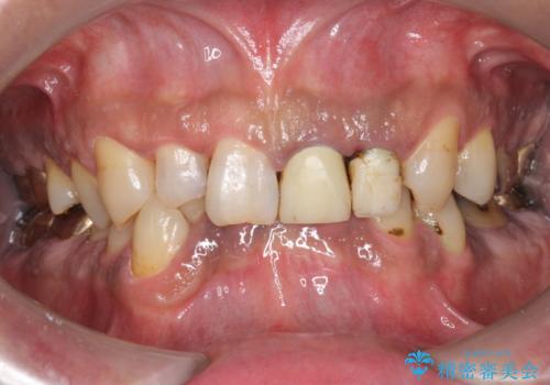
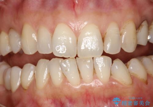
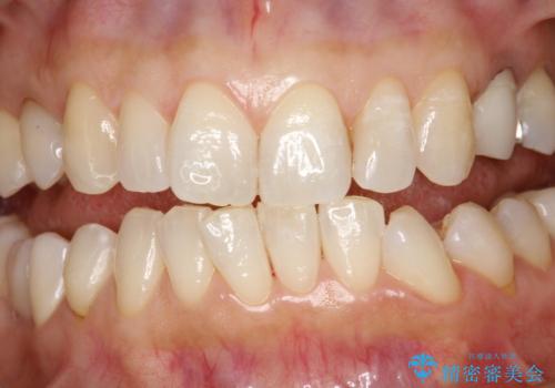
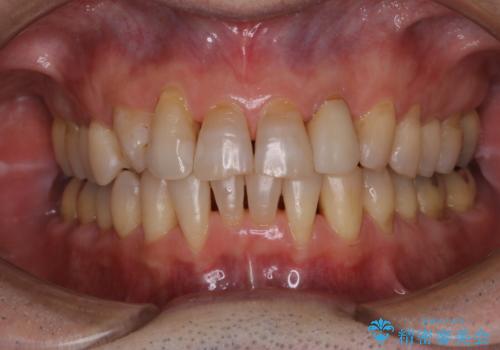
虫歯治療前のPMTC
担当医 歯科衛生士


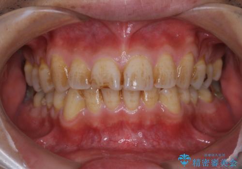
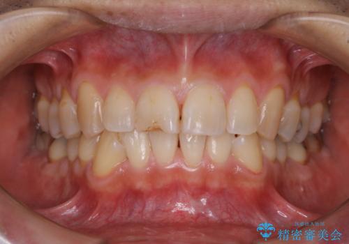
PMTC(歯科医院での専門的クリーニング)でタバコのヤニを除去
担当医 歯科衛生士


インビザライン矯正治療中にこびりついた着色をPMTCで綺麗に
担当医 歯科衛生士


PMTCで歯と歯の間の細かいステインの除去
担当医 歯科衛生士


しつこい歯の着色をPMTCで1日でピカピカに
担当医 歯科衛生士


マスクにより感じる口臭をPMTCで対策
担当医 歯科衛生士


歯の染め出しとPMTCで歯ブラシ指導とクリーニング
担当医 歯科衛生士


インビザライン中の歯石取り PMTC
担当医 歯科衛生士


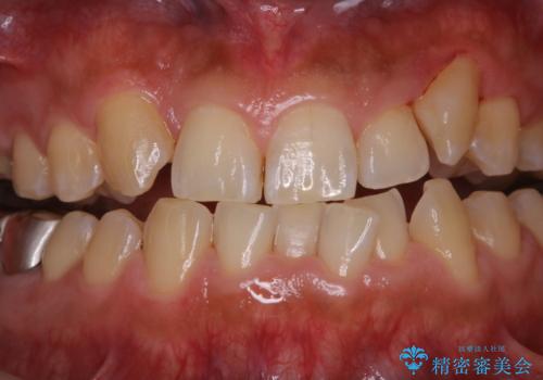
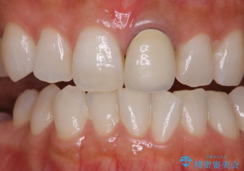
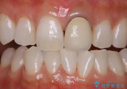
セラミックを入れた後もPMTCで定期的にメンテナンス
担当医 歯科衛生士


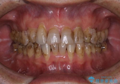
歯周病は細菌による感染症 その予防をPMTCで
担当医 歯科衛生士


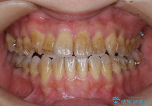
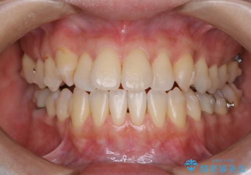
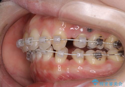
ワイヤー矯正治療中のPMTC60分コースでステインをキレイに
担当医 歯科衛生士


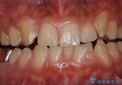
矯正治療を考えている方の歯のクリーニング
担当医 歯科衛生士


今後ホワイトニング予定の方のPMTC
担当医 歯科衛生士


マウスピース矯正(インビザライン)中にコーヒの頑固な着色落としをPMTCで
担当医 歯科衛生士


プロフェッショナルクリーニングの注意事項(リスク・副作用など)
- 歯を白くする目的の施術ではありません
- 保険適用外となります
