症例・治療例紹介
Cases
その他 → クリーニング(PMTC)
24ページ目 / 37
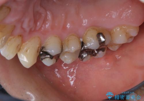
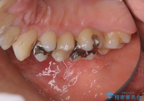
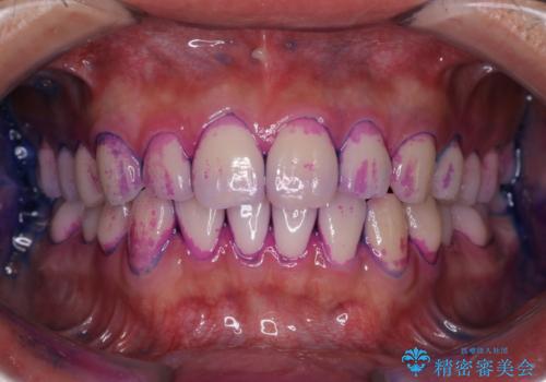
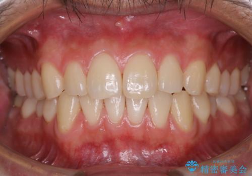
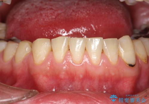
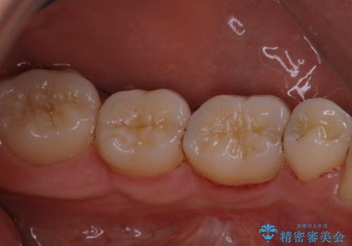
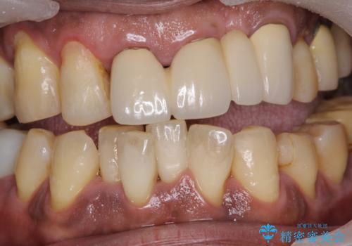
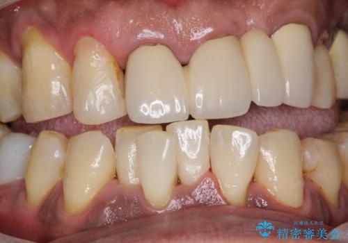
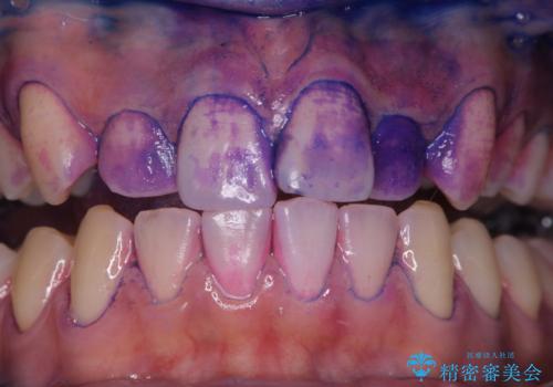
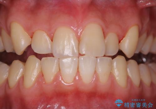
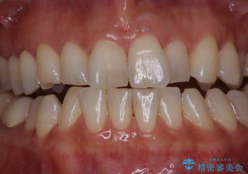
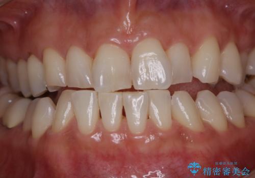
銀歯をセラミックに変える前にPMTCで現状の汚れをきれいに除去
担当医 歯科衛生士


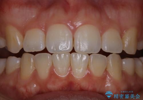
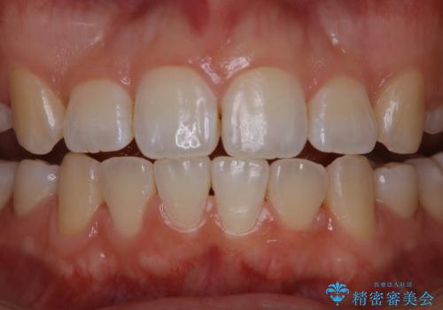
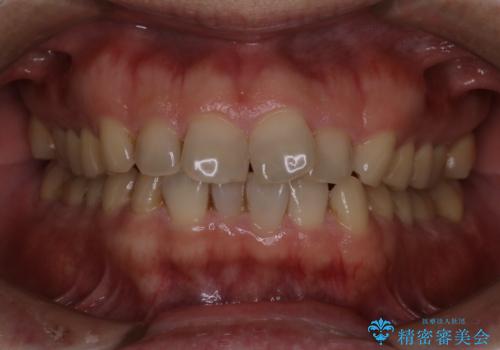
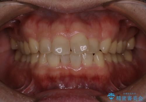
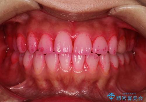
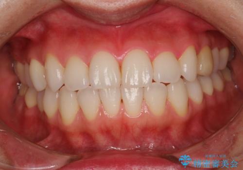
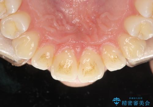
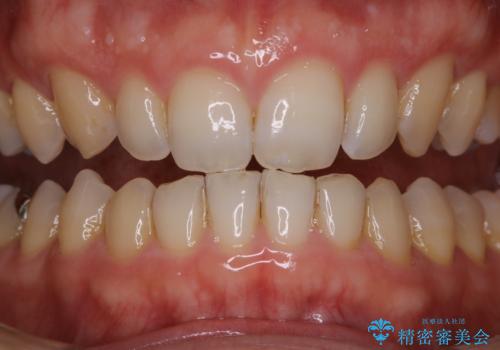
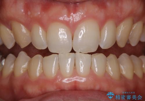
invisalignでの矯正治療が終了した方のPMTC
担当医 歯科衛生士


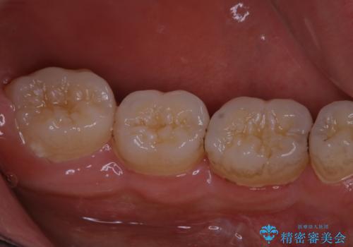
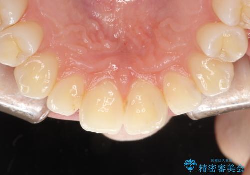
日々の磨き残しをPMTCできれいに
担当医 歯科衛生士


歯科医院で初めてのクリーニング PMTC30分コース
担当医 歯科衛生士


細かいステインをPMTCでOFF
担当医 歯科衛生士


歯医者で口臭予防 PMTC
担当医 歯科衛生士


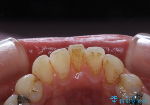
染め出しとPMTC
担当医 歯科衛生士


PMTCで3カ月に1度のメンテナンス
担当医 歯科衛生士


歯の着色・ステイン・ザラつき除去をPMTCで
担当医 歯科衛生士


歯医者で専門的なクリーニング
担当医 歯科衛生士


ホワイトニング予定の方のPMTC まずはステイン除去
担当医 歯科衛生士


矯正治療終了後のメンテナンス PMTCで着色落とし
担当医 歯科衛生士


矯正治療を始める前に歯磨き指導とPMTC
担当医 歯科衛生士


PMTCでツルツルの歯に
担当医 歯科衛生士


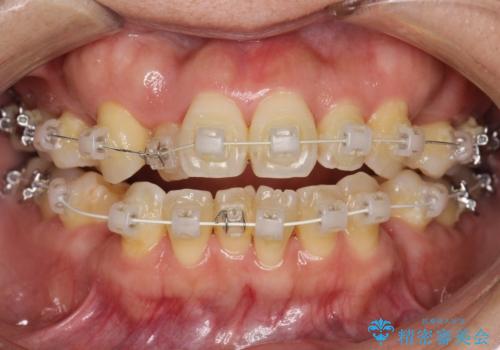
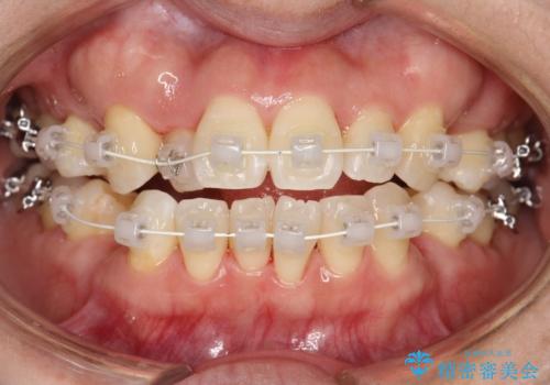
矯正中のクリーニング・ステイン除去
担当医 歯科衛生士


プロフェッショナルクリーニングの注意事項(リスク・副作用など)
- 歯を白くする目的の施術ではありません
- 保険適用外となります
