症例・治療例紹介
Cases
その他 → クリーニング(PMTC)
23ページ目 / 37
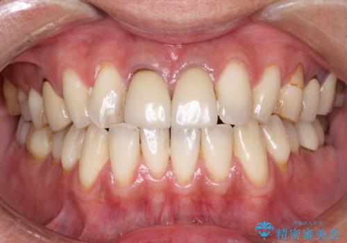
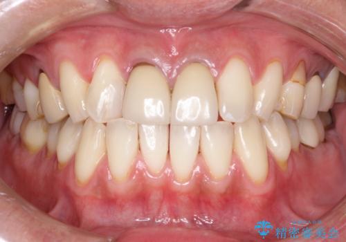
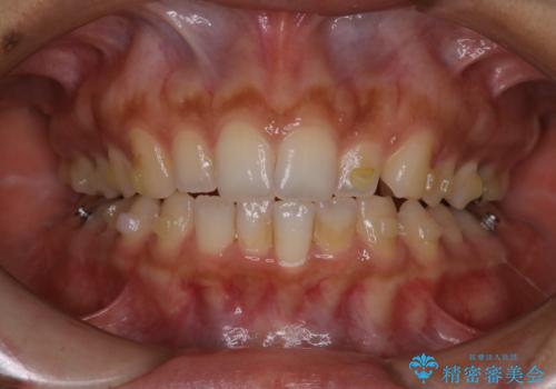
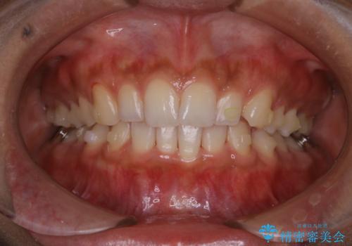
歯科衛生士による専門的なクリーニング PMTC
担当医 歯科衛生士


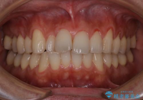
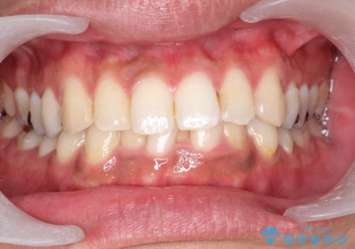
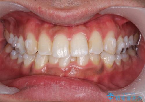
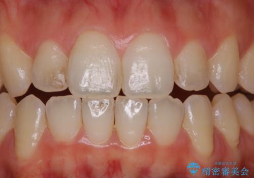
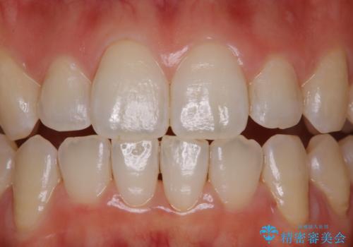
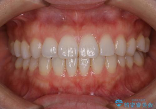
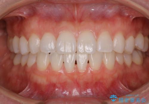
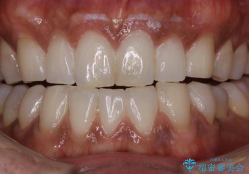
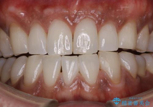
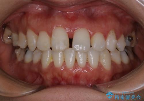
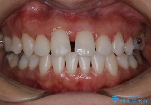
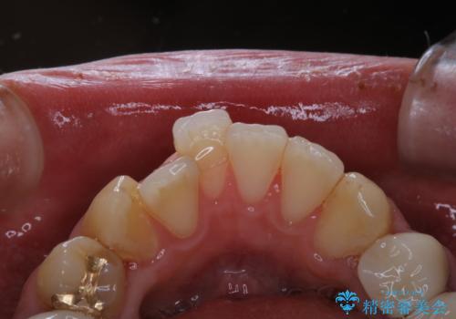
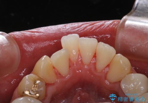
PMTCで清潔感ある口元に
担当医 歯科衛生士


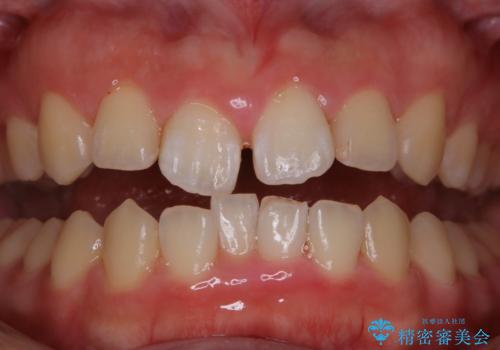
インビザラインでの矯正治療でアタッチメントset前のPMTC
担当医 歯科衛生士


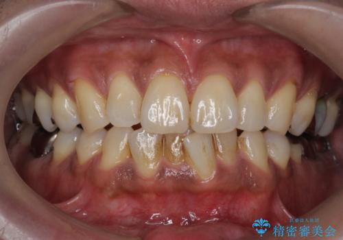
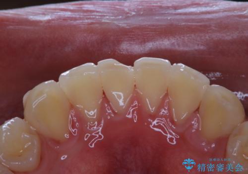
前歯の着色をPMTCできれいに
担当医 歯科衛生士


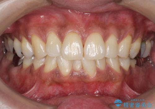
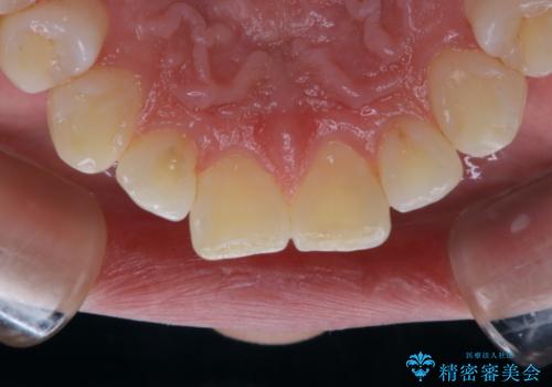
矯正治療前にPMTCで口元のケア
担当医 歯科衛生士


タバコによるヤニをPMTC(歯科医院での専門的クリーニング)で除去。
担当医 歯科衛生士


インビザラインでの矯正前にPMTC
担当医 歯科衛生士


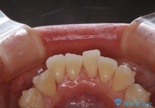
PMTCで見た目を綺麗に
担当医 歯科衛生士


マウスピース矯正(invisalign)中のクリーニング
担当医 歯科衛生士


PMTCで歯周病の予防
担当医 歯科衛生士


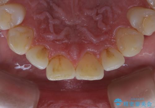
歯科医院にて染め出しをして歯磨き指導と専門的なクリーニング(PMTC)
担当医 歯科衛生士


3カ月に1度のPMTCでオーラルケア
担当医 歯科衛生士


インビザライン矯正治療中のPMTC
担当医 歯科衛生士


インビザライン中のPMTC60分コース
担当医 歯科衛生士


インビザライン矯正治療のスキャニング前のPMTC
担当医 歯科衛生士


プロフェッショナルクリーニングの注意事項(リスク・副作用など)
- 歯を白くする目的の施術ではありません
- 保険適用外となります
